牙齿色素沉着

"提问儿童牙齿上为什么会有黑色素?
图片尺寸461x355
什么是牙齿色素沉着,跟蛀牙有什么区别?
图片尺寸848x565
p>色素牙是因饮食,烟茶咖啡等附着于牙齿表面,黄或黑色,有的也是由于
图片尺寸584x376
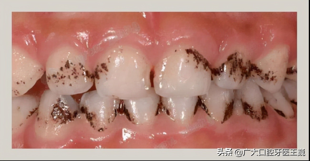
松风病例秀|郅洁云 儿童牙齿清洁法宝,牙间隙色素清除有妙招
图片尺寸1080x663
牙齿色素沉着图片(大牙出现黑线) - 赤虎壹号
图片尺寸1300x676
宝宝牙齿色素沉着怎么处理
图片尺寸508x622
牙齿这样子是怎么回事,还有点疼
图片尺寸864x1152
16图看牙齿色素沉着-洗洗吧
图片尺寸1334x750
牙齿上黑色的着么清除
图片尺寸600x800
儿童牙齿清洁抛光器去色素沉淀宝宝牙菌斑洗小黑牙除牙渍牙垢神器
图片尺寸800x800
牙齿黑斑42
图片尺寸400x485
牙齿出现好多黑斑怎么回事
图片尺寸768x1024
牙齿不够白,不知道是哪种色素牙怎么办?
图片尺寸542x288
看看自己牙齿上色素烟渍茶渍和牙结实洗掉这些有什么不好呢
图片尺寸1024x576
氟牙症是色素牙的一种,牙齿呈黄色损害,为慢性氟中毒早期在口腔的表现
图片尺寸579x357
小黑点出现在牙齿上,一种是色素沉着,烟渍,茶渍,咖啡渍等,刷牙是很难
图片尺寸676x442
牙齿上突然出现几条黑线,怎么刷都刷不掉,这样做还你一口大白牙
图片尺寸640x525
洗牙后牙齿仍旧黄,医生说是色素沉着,如何改善? - 知乎
图片尺寸1267x951
牙齿黑斑42
图片尺寸400x534
10岁孩子牙齿上有黑斑,好像是色素沉淀,如何去除 2008-02-22 牙齿上的
图片尺寸816x612