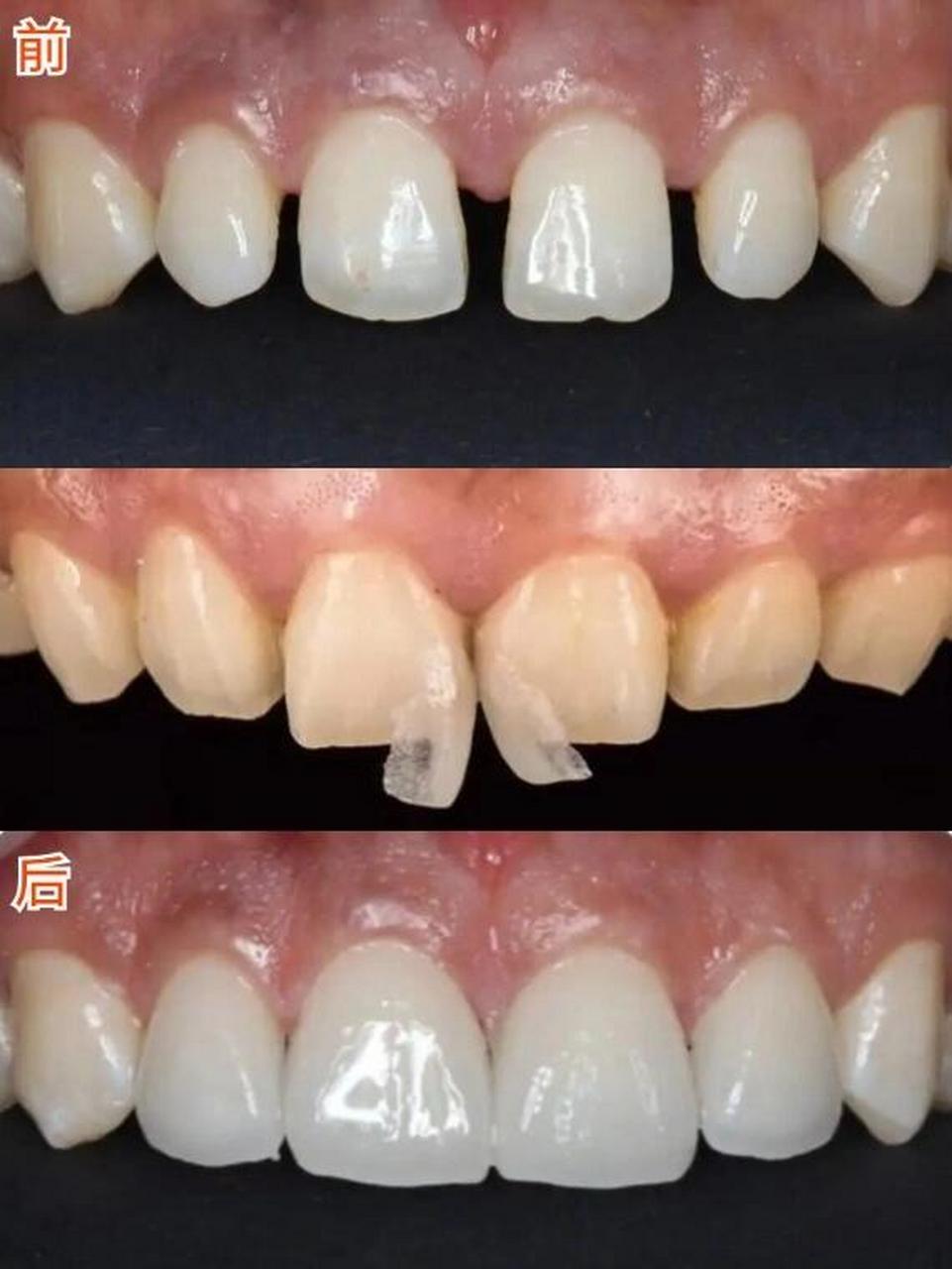
牙齿贴面前后对比

一位牙友的蓝瓷牙贴面对比图,被牙齿困扰的朋友是不是突然发现了新
图片尺寸961x1280
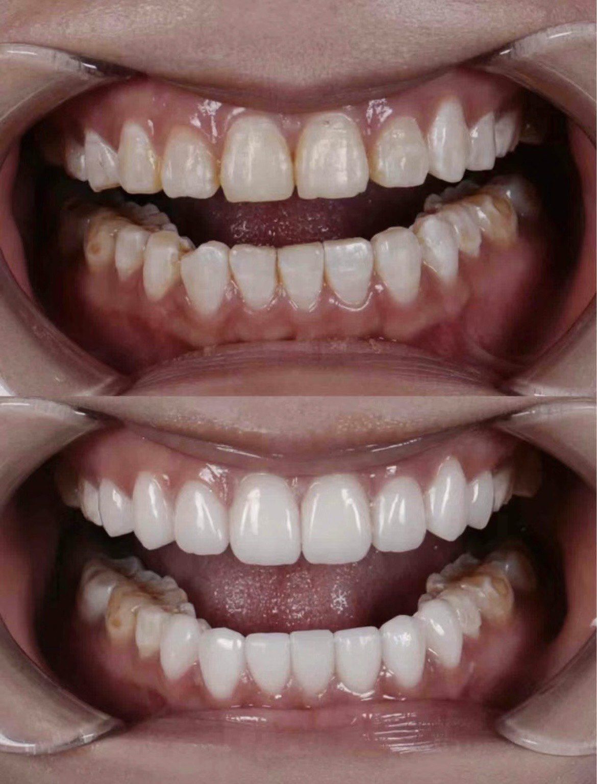
做了牙齿瓷贴面后的真实效果分享
图片尺寸750x1000
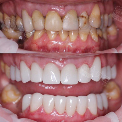
牙齿贴面前后对比图
图片尺寸690x400
牙齿瓷贴面对牙齿到底有没有危害?邢台修复专家王静医生为您详解!
图片尺寸1024x1460
07佑烁全瓷贴面的六大好处 1."全瓷贴面"是世界上目前前牙 - 抖音
图片尺寸1440x1920
郑东美遇##郑东美遇医疗美容门诊部##牙齿贴片
图片尺寸690x1035
重庆皓齿健口腔门诊贴面前后对比
图片尺寸500x373
本身的牙齿比较直,没有存在外翻的情况,可以直接做到不磨牙粘贴. .
图片尺寸961x1280
牙齿贴面前后对比照片
图片尺寸500x333
分享一组牙贴面修复案例,前后对比可以看到
图片尺寸1280x720
上海牙齿贴面#上海牙齿贴面医生赵高清 #上海鑫沐颜面部美学口腔
n
图片尺寸1170x1537
瓷贴面案例对比
图片尺寸640x640
琥珀瓷贴面修复前后对比
图片尺寸400x400
星瓷路科普:瓷贴面牙齿有危害吗?
图片尺寸1990x1950
牙齿贴片前后对比照
图片尺寸1080x1079
郑东美遇牙贴片前后对比图铸瓷牙贴片效果很自然微笑面对人自信又美丽
图片尺寸690x1035
牙齿矫正还是瓷贴面好,点击看内幕
图片尺寸413x497
牙贴面对比效果
图片尺寸392x699
【牙齿贴面修复案例】和真牙几乎一样!
图片尺寸690x2703
做美加瓷贴面牙齿案例前后对比图
图片尺寸500x557