牙龈上顶出硬牙尖

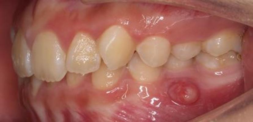
在牙龈上长了个硬疙瘩 有个白色的尖尖 不痛不痒 以前这个牙有补过 这
图片尺寸480x640
牙龈有一颗硬质的白色凸起,不疼不痒,要紧么?
图片尺寸444x528
右侧3号牙的牙龈上有硬硬的突出,长条状的,不疼不痒,像骨头又像牙根
图片尺寸911x950
牙龈有一颗硬质的白色凸起,不疼不痒,要紧么?
图片尺寸960x655
牙龈上长个白色硬物,不痛不痒,几个月了,甚至还把我的一颗牙齿都给
图片尺寸710x381
关于宝宝出牙的那些事儿|宝宝|牙龈|果果_新浪新闻
图片尺寸640x427
牙齿肉上长一颗硬硬的肉,是怎么回事呀?
图片尺寸951x713
慢性根尖周炎急性发作一例
图片尺寸680x433
这些地方没有刷干净啊,牙齿和牙龈的交界处,牙齿的表面,牙齿的邻面.
图片尺寸1440x1080
牙龈上的突起是什么
图片尺寸1648x1236
牙齿上长了一个小突起是怎么回事
图片尺寸3264x2448
请问!十多岁的小朋友两个板牙上面又长了像小牙齿一样的不知道什么?_?
图片尺寸612x816
左右两侧 最里面牙龈有点 微疼.左侧浮肿一点.第七个牙齿酸疼.
图片尺寸461x685
齿根尖周炎治疗
图片尺寸357x300
牙龈增生
图片尺寸400x533
畸形中央尖的处理
图片尺寸828x400
【图】牙根尖囊肿到底是什么病 深度揭秘牙尖囊肿的病发秘密
图片尺寸597x400
长了一颗智齿牙齿部分没有全露出来大部分在牙龈里要拔吗
图片尺寸362x488
牙龈上长包是怎么回事
图片尺寸490x331
怎么回事呢,两牙之间长了小牙?
图片尺寸516x308