牙龈下结石图片

更可怕的"龈下牙结石",你造吗?看完还不洗牙_手机搜狐网
图片尺寸640x309
我的牙齿下方黑黑的是结石吗需要做龈下刮治吗还是单纯的洗牙就
图片尺寸1944x2592
提问牙结石为什么会长在牙龈下面
图片尺寸800x569
真实洗牙过程,居然在牙龈下挑出这么多脏东西!
图片尺寸640x426
牙龈下的牙结石是哪来的?
图片尺寸640x378
精益口腔医生表示,牙结石太多需要定期清洗牙齿,如果牙龈附着的丧失
图片尺寸950x551
洗牙之后还是有口臭也许是因为你的龈下结石没有刮治
图片尺寸550x485
牙周炎|牙结石|口腔|医生_网易订阅
图片尺寸660x483
害人不浅的牙结石用龈下刮治才能清除祸害
图片尺寸550x426
更可怕的"龈下牙结石",你造吗?看完还不洗牙_手机搜狐网
图片尺寸640x423
牙结石为什么会长在牙龈下面?
图片尺寸480x290
龈下结石不容小觑,它的危害和治疗方法你都知道吗?
图片尺寸400x616
牙结石还会长在牙龈里面及时清除否则后患无穷
图片尺寸640x393
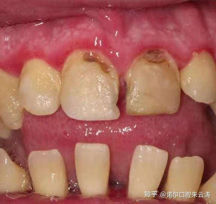
洗牙后让牙结石占据的空间可能让牙龈再长回去充满吗
图片尺寸720x678
为什么牙结石集中在下牙内侧,外侧最少?_手机搜狐网
图片尺寸480x320
洗牙针对的是「牙龈以上」的结石菌斑,而「牙龈以下」的则要交给龈下
图片尺寸911x512
这样一来牙结石就从牙冠向下蔓延,牙龈就会一天一天萎缩,牙槽骨也会
图片尺寸2000x1333
为什么牙龈萎缩牙槽骨吸收不可逆
图片尺寸500x600
牙结石为什么会长在牙龈下面?
图片尺寸634x323
龈下结石你看不见的杀手 猜猜颗牙齿最严重?_牙龈
图片尺寸630x397