牙龈修复

1,用于牙龈退缩的治疗(隧道手术,冠向移位瓣等)
图片尺寸1624x569
牙齿美学修复案例 - 好大夫在线
图片尺寸1043x528
前牙种植即刻修复引导牙龈生长
图片尺寸428x650
陆续续的蛀牙了,随着时间的推移,牙龈萎缩后金属冠的边缘暴露影响美观
图片尺寸1080x608
患者多年后牙劈裂缺损且牙龈增生,做电刀修龈纯钛桩颌修复牙体, - 抖
图片尺寸1440x1920
拆除不良修复体:初诊照:修复设计:拆除12-22不良修复体,待牙龈炎症
图片尺寸620x347
牙龈萎缩修复再生齿松动肿痛出血健龈固齿散牙粉牙缝宽大修复神器
图片尺寸800x800
牙龈萎缩专用牙膏重度牙龈萎缩修复再生固齿专用牙齿松动牙龈萎缩 一
图片尺寸800x800
牙龈成型后全瓷修复案例
图片尺寸1706x1280
美齿修复(10)之史上最丑假牙龈之再修复 - 好大夫在线
图片尺寸1116x741
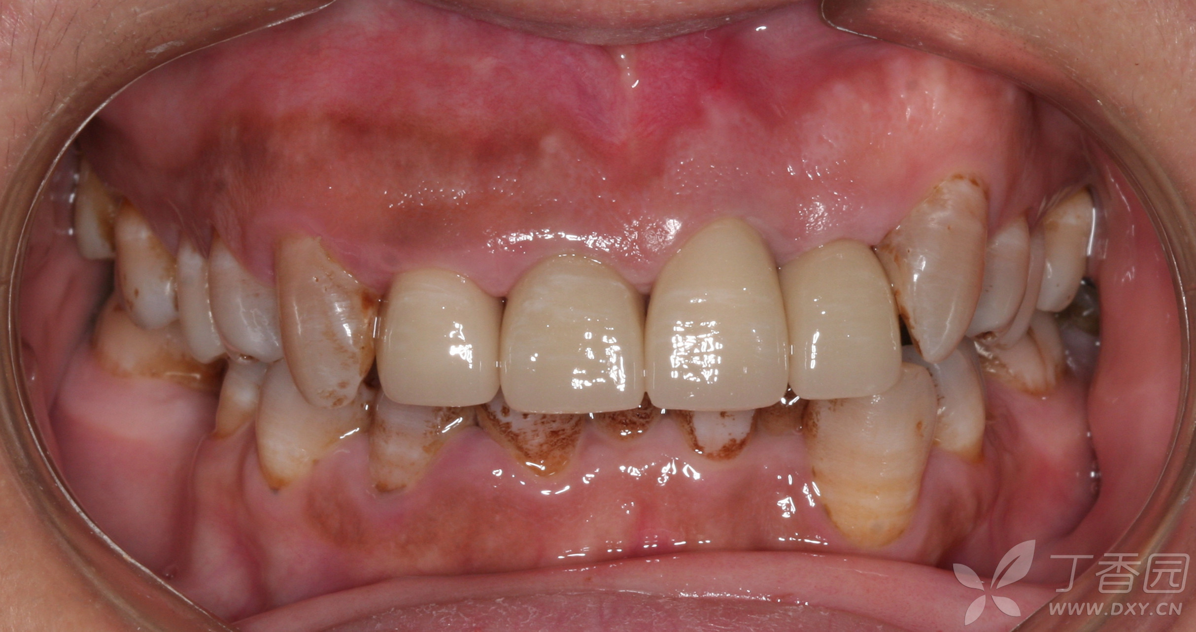
临床检查:口腔卫生一般,龈上牙石( ),牙龈稍红肿,上前牙腭面色素附着.
图片尺寸388x713![上前牙龈缘曲线严重失调患者的冠修复一例 [病例帖]](https://i.ecywang.com/upload/1/img0.baidu.com/it/u=1054133469,2300347445&fm=253&fmt=auto&app=138&f=JPEG?w=740&h=500)
上前牙龈缘曲线严重失调患者的冠修复一例 [病例帖]
图片尺寸2450x1656![上前牙龈缘曲线严重失调患者的冠修复一例 [病例帖]](https://i.ecywang.com/upload/1/img0.baidu.com/it/u=464622024,4017350222&fm=253&fmt=auto&app=138&f=JPEG?w=499&h=264)
上前牙龈缘曲线严重失调患者的冠修复一例 [病例帖]
图片尺寸2427x1283
牙齿修复前后对比
图片尺寸1240x581
标准基台即刻修复,牙龈塑形
图片尺寸1080x1440
以"牙龈变色半年"主诉就诊.检查
图片尺寸620x417
种植牙修复步骤图例:这几个步骤中只有第3步特别痛苦
图片尺寸500x500![上前牙龈缘曲线严重失调患者的冠修复一例 [病例帖]](https://i.ecywang.com/upload/1/img1.baidu.com/it/u=3853387980,3975041766&fm=253&fmt=auto&app=138&f=JPEG?w=750&h=500)
上前牙龈缘曲线严重失调患者的冠修复一例 [病例帖]
图片尺寸2970x1979
前牙种植即刻修复引导牙龈生长
图片尺寸3648x5472
牙齿修补填充手术的过程,胆小勿入
图片尺寸640x360