牙龈坏死图片

牙龈没了压根烂了 从小的时候就这样了好像 是什么病 能治么?
图片尺寸460x816![坏死性溃疡性牙龈炎 [病例帖]](https://i.ecywang.com/upload/1/img2.baidu.com/it/u=2198348042,3148197228&fm=253&fmt=auto&app=138&f=JPEG?w=500&h=333)
坏死性溃疡性牙龈炎 [病例帖]
图片尺寸5184x3456
牙龈上长了个类似溃疡的东西,不疼,10几天了,有白色物质在上面,用手指
图片尺寸500x889
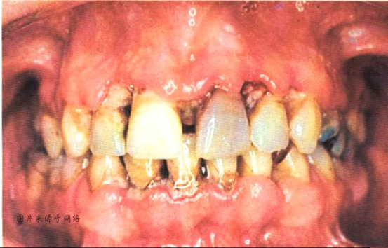
急性坏死性溃疡性牙龈炎(anug)
图片尺寸1500x1000
牙龈最后一颗牙齿旁边溃烂了一个白色小洞! 看图 怎么办
图片尺寸768x1024
颊舌侧牙龈乳头坏死变黄,对应牙槽骨发白骚刮无血,该怎么处理啊求大神
图片尺寸500x666
牙龈上长了个类似溃疡的东西,不疼,10几天了,有白色物质在上面,用手指
图片尺寸500x889
这是什么情况?我的牙龈怎么这个样子
图片尺寸600x600![坏死性溃疡性牙龈炎 [病例帖]](https://i.ecywang.com/upload/1/img2.baidu.com/it/u=2954134995,2701818591&fm=253&fmt=auto&app=138&f=JPEG?w=500&h=333)
坏死性溃疡性牙龈炎 [病例帖]
图片尺寸5184x3456
牙龈成这样了,很疼,怎么办?
图片尺寸480x640
坏死性溃疡性龈口炎牙龈边缘溃烂图.jpg
图片尺寸400x300
我觉得应该是,因为你是牙齿根尖部位的牙龈化脓,然后又牙髓炎又坏死了
图片尺寸318x225
拜博口腔种牙种植体植入后牙龈破损院方不修复声称是我牙龈自身问题
图片尺寸550x769
我上牙床的牙龈与嘴皮内部的交界处烂掉了,还是棕黄色的,去舔的话很痛
图片尺寸768x1024
颊舌侧牙龈乳头坏死变黄,对应牙槽骨发白骚刮无血,该怎么处理啊求大神
图片尺寸888x666
坏死性溃疡性牙龈炎 - 口腔专业讨论版 -丁香园论坛
图片尺寸5184x3456
牙龈痛了几天 好了之后有个牙齿掉了一块 是结石还是牙齿坏掉啦,然后
图片尺寸612x816
的例子是一种叫做急性坏死性溃疡性龈炎/牙周炎的疾病,表现为牙龈溃疡
图片尺寸553x354
如何治疗?_牙龈癌_介绍_症状表现_治疗方式 - 好大夫在线
图片尺寸1269x951
我下牙龈前几天长了个洞肉肉都是才的那一块,是什么情况啊?
图片尺寸754x1008