牙龈瓷效果图

考虑到牙龈萎缩,设计成连冠 牙龈瓷处理最后完成,如果患者要求高,可以
图片尺寸2787x1858
在外观上透光性不好,烤瓷牙使用久了,牙龈处会透"黑线",这是因为发生
图片尺寸1000x580
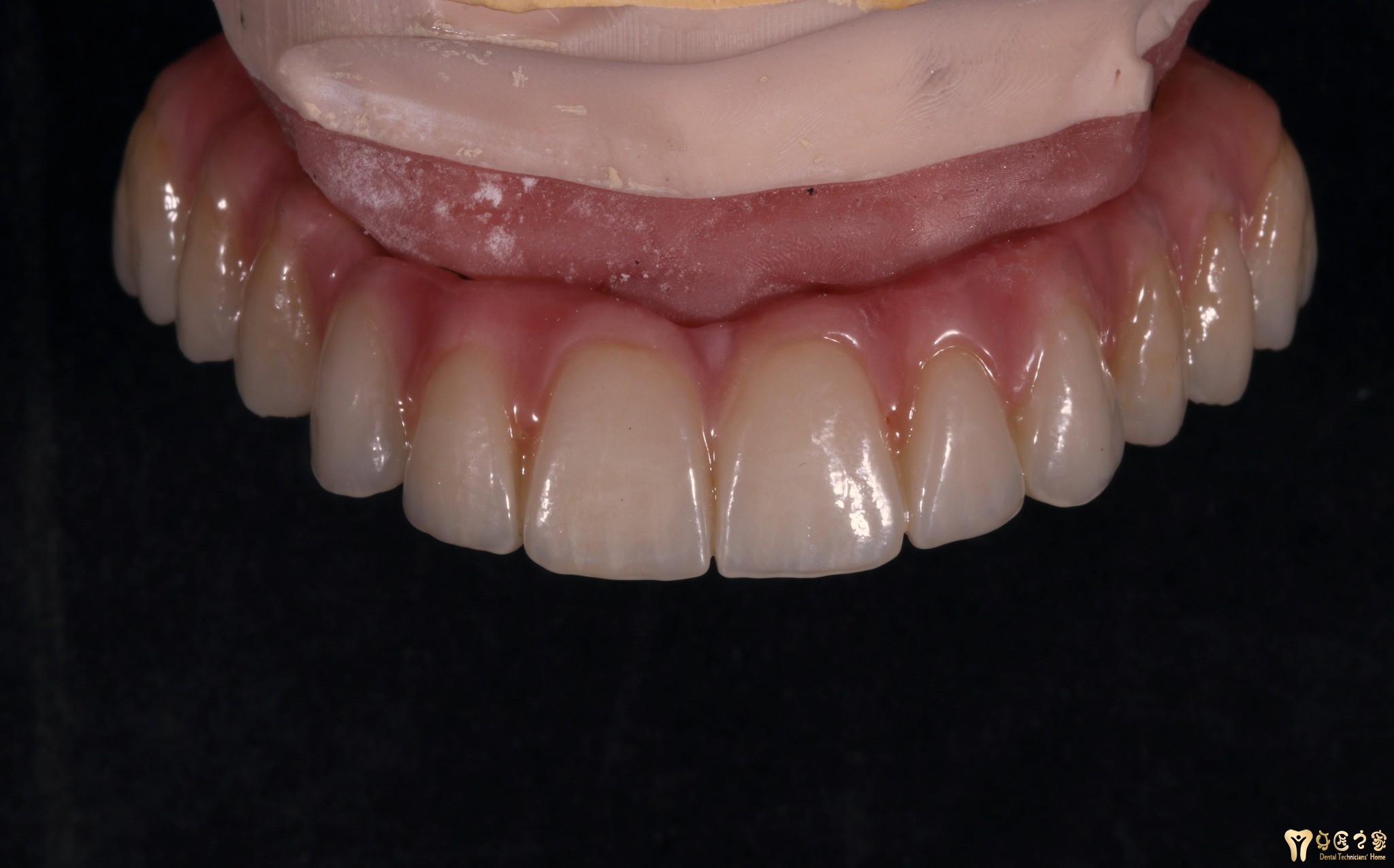
牙龈瓷
图片尺寸1064x2304
牙龈瓷在前牙美容修复中的临床应用
图片尺寸620x467
前牙种植完整病历 牙龈瓷修复
图片尺寸560x372
修复完成后,对于11龈缘位置较高的问题,只能用牙龈瓷来掩饰,效果
图片尺寸620x302
牙龈修复展示图照片
图片尺寸400x400
bayramov罗凤霞牙龈聚合瓷处理alexandr korchagin罗凤霞上瓷sargis a
图片尺寸2048x1276
全瓷牙的仿真效果强,色泽近似于天然牙齿,还能修复缺损的牙齿
图片尺寸640x427
烤瓷牙10年后的图片,良心建议使用十年的烤瓷牙牙龈发黑一定及时更换
图片尺寸600x343
首页 口腔修复 全瓷修复 -正文 站内搜索
图片尺寸620x412
首选全瓷牙-完美解决牙龈变黑
图片尺寸2048x1360
烤瓷冠在前牙美容修复中的应用体会
图片尺寸620x411
a2前突扭转,b2内倾,龈缘线不对称并口呼吸致前牙开合的全瓷修复一例
图片尺寸3450x1940
烤瓷牙牙龈发黑怎么办?
图片尺寸950x625
龈缘变黑全瓷冠的再次处理 上海市口腔医院 修复科 包向军
图片尺寸1319x628
牙齿修复主要意思(牙齿修复是什么意思)_大全-幸福起航
图片尺寸500x375
牙龈瓷烧结完毕初步抛光钛支架上进行牙本质及牙龈瓷堆塑铸造钛支架
图片尺寸544x256
牙龈瓷美学修复北京雅医家口腔
图片尺寸551x282
上图是做完全瓷牙照片上图是以前的烤瓷牙,牙龈都有点_圈子-新氧美容
图片尺寸570x379