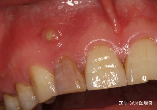
牙龈疮

牙龈长个包包是怎么回事呢?去医院看了,医生说是上火!真的只是上火吗?
图片尺寸480x640
牙龈上长了个类似溃疡的东西,不疼,10几天了,有白色物质在上面,用手指
图片尺寸500x889
牙龈上长了个类似溃疡的东西,不疼,10几天了,有白色物质在上面,用手指
图片尺寸500x889
牙龈外伤致口腔溃疡
图片尺寸768x1024
如图,牙龈上起了个泡是怎么回事呢?
图片尺寸480x640
下牙床处长了类似溃疡,白色部分,持续一周了,起先就
图片尺寸768x1024
缺损的牙龈还能恢复吗?要去
图片尺寸516x916
孩子牙龈长包吃点消炎药就能好吗
图片尺寸1000x573
自己刺破牙龈脓包会不会有问题?
图片尺寸640x470
牙龈老是生脓包
图片尺寸959x720
牙龈长脓包是怎么回事自己用针扎破或者挤破行吗
图片尺寸600x518
小孩牙龈长了一个红红的包,很疼是怎么回事?
图片尺寸640x960
牙龈上长脓包,挤掉后还反复长出,怎么回事?__凤凰网
图片尺寸456x373
牙龈脓包不是痘!千万不要自己戳
图片尺寸640x616
孩子牙龈上长包,不疼不痒,按着是软的,按下去有点疼.
图片尺寸3200x1800
【图】牙龈长泡怎么回事 16招帮你轻松解决
图片尺寸521x536
牙龈上一直有个泡,有时候上火会大,从来没下去过,这是个什么啊?
图片尺寸960x1280
牙龈上长了一个脓包怎么办
图片尺寸507x356
上门牙里边的牙床肿的特厉害 上边有白色的泡 有的
图片尺寸555x512
牙龈上长脓包看你还敢不敢自己乱挤了
图片尺寸507x282