牙龈瘤图片初期

我儿子牙龈上长了个包,他说不疼,挺担心的.
图片尺寸750x1000
牙龈长个包包是怎么回事呢?去医院看了,医生说是上火!真的只是上火吗?
图片尺寸480x640
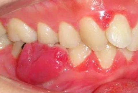
牙龈瘤
图片尺寸711x400
五岁小孩下牙龈上长了一个红红的小肉瘤,摸上软软的不痛不痒是怎麼
图片尺寸400x400
牙龈瘤
图片尺寸432x400
牙龈瘤
图片尺寸448x452
如果是牙龈瘤,是不是一定要拔牙才可以治?该怎麼办啊?
图片尺寸300x400
牙龈瘤
图片尺寸415x347
大概近一年左右,牙龈上面长了一个小包,软软的还会滑动,不疼不
图片尺寸3120x1669
牙龈瘤
图片尺寸324x257
实际上,这瘤子是 牙龈瘤.
图片尺寸608x381
牙龈上长了个瘤子是什么东西严重吗
图片尺寸480x325
牙龈瘤
图片尺寸533x400
牙龈瘤
图片尺寸2048x1536
幼儿牙龈上长了个疙瘩,想问一下是怎么回事?需要怎么治疗,谢谢
图片尺寸600x800
牙龈瘤
图片尺寸400x533
什么是牙龈瘤
图片尺寸4737x3079
口腔牙龈瘤
图片尺寸3000x4000
牙龈瘤
图片尺寸400x533
5个多月的牙龈瘤,好像3个月的时候开始的差不多,现在已经很大很大很
图片尺寸375x500