牙龈肥大

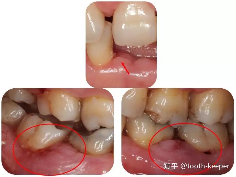
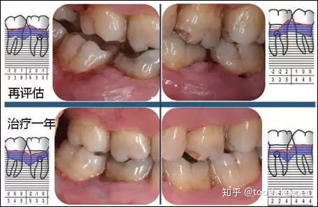
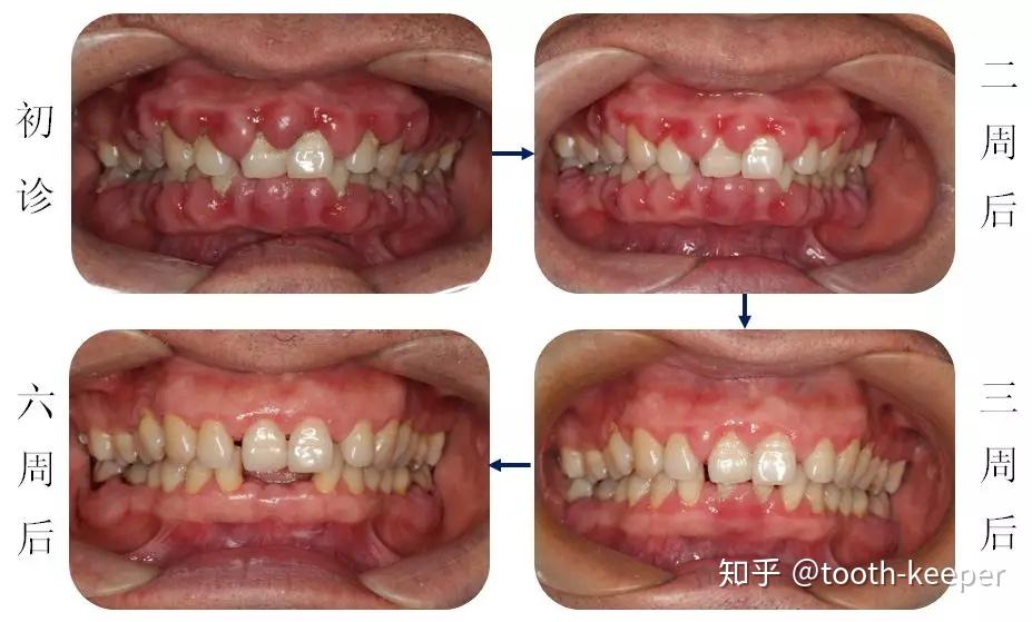
药物性牙龈肥大序列治疗一例
图片尺寸1080x571
药物性牙龈肥大牙龈肥厚长小肉球图.png
图片尺寸400x300
药物性牙龈肥大图
图片尺寸750x500
药物性牙龈肥大又称药物性龈增生(drug induced g - 抖音
图片尺寸1920x1070
药物性牙龈增生
图片尺寸380x253
药物性牙龈肥大1ppt模板
图片尺寸1200x4020
药物性牙龈肥大牙龈肿大增厚图.jpeg
图片尺寸400x300
牙龈增生
图片尺寸533x400
药物性牙龈肥大序列治疗一例
图片尺寸822x617
药物性牙龈肥大序列治疗一例
图片尺寸455x297
什么是药物性牙龈增生?又应该如何治疗呢?
图片尺寸638x301
牙龈增生
图片尺寸554x400
牙石等,可使一些孕妇出现牙龈增生有的甚至会在牙床上长出一个称之
图片尺寸600x450
药物性牙龈肥大序列治疗一例 - 知乎
图片尺寸927x559
药物性牙龈增生
图片尺寸500x276
药物性牙龈肥大1
图片尺寸920x690
肥大性龈炎临床表现!_牙龈炎-深圳爱康健口腔医院
图片尺寸318x221
肥大性龈炎怎么治疗?-牙龈红肿-山西盛大齿科医院
图片尺寸321x220
德医健康说药物引起牙龈增生肥大的原因与治疗方法
图片尺寸516x282
药物性牙龈肥大序列治疗一例
图片尺寸1080x753