特纳牙图片

什么是特纳牙
图片尺寸401x351
有了特纳牙怎么办?
图片尺寸345x240
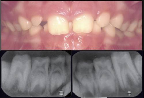
带着缺陷萌发出来的恒牙,则有可能变成特纳牙,也就是牙釉质发展不全的
图片尺寸1000x790
小孩子换了新牙,新牙怎么会长这样?
图片尺寸673x493
什么是特纳牙特纳牙怎么办
图片尺寸637x552
孩子乳牙龋坏这锅家长得背
图片尺寸524x447
通过图片让你的患者了解口腔常见疾病_牙齿
图片尺寸492x369
南太平洋满口猩红色牙齿的民族
图片尺寸550x300
釉质发育不全的诊断与牙体发育异常的治疗——宋亚玲教授
图片尺寸500x340
爱牙医生说小牙之牙龈上起包是上火了吗
图片尺寸325x225
孩子乳牙龋坏这锅家长得背
图片尺寸683x352
特尔施特根谈巴萨生涯250场感到无比的自豪想继续刷新纪录
图片尺寸1280x853
在儿童口腔常见病中发病率最高,分布最广的是龋齿(又叫蛀牙),糖(尤其
图片尺寸400x250
乳牙龋坏影响一生如何保护孩子的乳牙这份护牙干货快收好
图片尺寸604x460
《i-d》四十周年与 stussy 联名:被翻倍炒卖却没人认识这位满口金牙
图片尺寸743x1080
特写,牙齿图片_特写,牙齿高清图片_全景视觉
图片尺寸794x528
在nba中,从以前到现在,身体素质最一般的超级巨星是谁?
图片尺寸364x450
特纳牙会影响恒牙和恒牙列的生长.
图片尺寸1800x1200
2019年广西细说正畸矫治技术学习班顺利举办
图片尺寸700x467
德国小狮王诺坎普"特爹" 特尔施特根31岁生日快乐
图片尺寸4500x2812