犬焦虫病

可恶的焦虫病,哪位前辈知道这是什么情况 - 比特犬 - 猛犬俱乐部-中国
图片尺寸1488x1984
狗狗的常见疾病当中能被传染给人的就只有弓形虫和皮肤病_小狗情人
图片尺寸562x750
请问狗狗这是怎么了?
图片尺寸677x906
斗犬之王"比特犬,到底有多猛,比特犬跑步机图纸
图片尺寸480x360
犬巴贝斯虫焦虫病的检测方法
图片尺寸534x703
讨论我家狗狗得了巴贝斯虫病焦虫病想请教一下大家
图片尺寸1080x810
狗狗这是什么皮肤病?
图片尺寸600x450
3个多月大的小狗疑似长了螨虫,还没打过针,急求解决方法!
图片尺寸350x263
大神们,帮帮忙吧,看看我家狗狗身上是什么呀,嘴上
图片尺寸426x568
狗狗球虫病有什么症状
图片尺寸500x351
狗狗的这种寄生虫病,一发现就要治,千万别耽误
图片尺寸640x480
不幸确诊巴贝斯焦虫病后续
图片尺寸1080x1440
你好我看到你回复别人的帖子,我想问你一下,我家狗这是真菌还是螨虫
图片尺寸600x800
焦虫病,以春夏季比较多发,主要来源于硬蜱虫咬破犬皮肤血液传播,一但
图片尺寸440x440
看看我这条狗这个是贫血还是焦虫,除了尿黄,其余的都是好的 - 比特犬
图片尺寸1040x780
各位大神专家,我家狗狗一只眼睛成这样了,擦了给人
图片尺寸612x816
狗狗皮肤病 ! 有图
图片尺寸500x374
病例分享|一例小焦虫感染引起犬溶血致严重贫血的病例
图片尺寸967x643
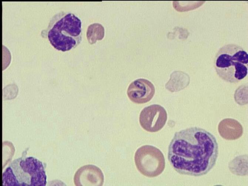
犬巴贝斯焦虫病
图片尺寸1024x768
被焦虫病狗狗挠了一下,会传染吗
图片尺寸1280x960