狂犬病毒包涵体

狂犬病毒包涵体
图片尺寸960x720
犬瘟热病毒包涵体
图片尺寸640x375
p>内基氏小体(negri bodies)狂犬病毒形成的包涵体,呈圆形或椭圆形
图片尺寸533x413
狂犬病毒ppt
图片尺寸1080x810
什么是包涵体
图片尺寸638x479
的中枢神经细胞中增殖时,可在胞质内形成嗜酸性,圆形或椭圆形的包涵体
图片尺寸331x218
狂犬病病毒(动物)
图片尺寸600x465
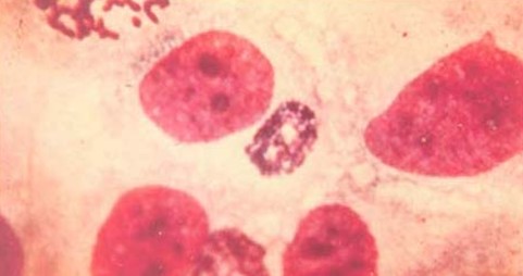
一个结膜上皮细胞似乎含有一块较大的细胞质包涵体,带有淡粉色颗粒感
图片尺寸800x574
33-1狂犬病病毒ppt
图片尺寸1080x810
包涵体
图片尺寸295x300
在神经细胞浆 内增殖,形成嗜酸性包涵体-内基小体 (negri body)
图片尺寸1080x810
内出现光镜下可见的斑块状结构,称为包涵体.
图片尺寸1080x810
狂犬病病毒
图片尺寸300x240
医学微生物鲁凤民27狂犬病病毒
图片尺寸800x600
传染第八版配套课件 02病毒-13-狂犬病ppt
图片尺寸1080x810
狂犬病病毒
图片尺寸954x538
狂犬病病毒在人类身上100会死亡为何狗却没事
图片尺寸734x382
包涵体内大量核糖核蛋白 c. budding rabies virus.排出狂犬病病毒
图片尺寸1080x810
包涵体
图片尺寸481x254
罕见的白细胞包涵体,遇见便此生铭记!_腾讯新闻
图片尺寸750x1000