狂犬病毒包涵体图片

狂犬病毒包涵体
图片尺寸960x720
流感病毒感染之绿色包涵体
图片尺寸660x709
p>内基氏小体(negri bodies)狂犬病毒形成的包涵体,呈圆形或椭圆形
图片尺寸533x413
的中枢神经细胞中增殖时,可在胞质内形成嗜酸性,圆形或椭圆形的包涵体
图片尺寸331x218
病毒真的是活的吗?
图片尺寸752x1002
什么是包涵体
图片尺寸638x479
广 在易感动物或人的中枢神经细胞中增殖时,胞 质内形成嗜酸性包涵体
图片尺寸1080x810
包涵体
图片尺寸1200x802
犬瘟热病毒包涵体
图片尺寸640x375
包涵体
图片尺寸481x254
正常人胚肾细胞 br>2.病变人胚肾细胞 br>3.狂犬病病毒(包涵体) br>4.
图片尺寸1280x1706
脑脊液检查中发现的病毒包涵体华山细胞形态专栏1
图片尺寸417x278
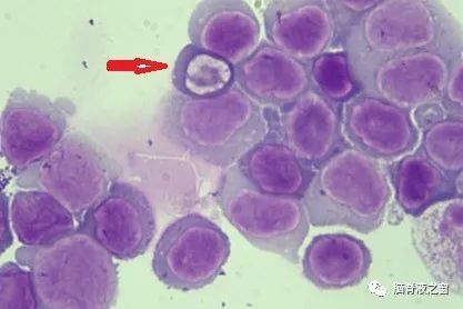
罕见的白细胞包涵体,遇见便此生铭记!_腾讯新闻
图片尺寸750x1000
脑脊液检查中发现的病毒包涵体华山细胞形态专栏1
图片尺寸417x278
首页 理论资料 狂犬病(rabis)是狂犬病毒引起的传染病.
图片尺寸274x181
【答疑篇】包涵体蛋白你了解吗? - 上海翎因生物科技有限公司
图片尺寸600x336
从症状来看,医生怀疑是感染了狂犬病毒,经检测,最终证实了医生的猜测
图片尺寸750x1000
内出现光镜下可见的斑块状结构,称为包涵体.
图片尺寸1080x810
如此包涵体
图片尺寸3648x2736
罕见的白细胞包涵体,遇见便此生铭记!_腾讯新闻
图片尺寸853x853