环池和四叠体池

鞍上池,脚间池,环池,四叠体池感谢徐桂兴博士授权发表.
图片尺寸641x480
四叠体池(quadrigeminal cistern)
图片尺寸594x445
影(上丘),上丘 间的凹窝属于四叠体池下部(上丘池),此池前方为中脑
图片尺寸1080x810
四叠体【神经功能解剖】_中脑_顶盖_运动
图片尺寸1080x1023
脑室脑膜脑池
图片尺寸1080x810
收藏高清解剖脑室脑池脑膜
图片尺寸1080x742
环池鞍上池四叠体池
图片尺寸1080x810
在中脑水平,注意小脑上角与下丘的十字交叉,亦可见滑车神经在环池内走
图片尺寸1080x1198
钟书教授专栏丨中枢重症第26期图解脑疝
图片尺寸1080x810
mri 经乳头 体mri t1加权 加权 额下回 乳头体 环池, 环池,滑车神经
图片尺寸1080x810
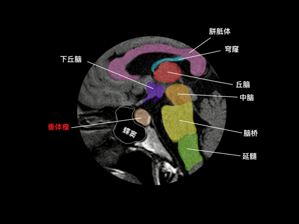
颅脑 mri 矢状位垂体瘤颅脑 mri颅脑 mrv鞍上池,脚间池,环池,四叠体池
图片尺寸1000x749
垂体瘤颅脑 mri颅脑 mrv鞍上池,脚间池,环池,四叠体池首发 | 神经时间
图片尺寸1000x749
本部环绕中脑的 大脑脚外侧面,向 前连于脚间池,向 后连于四叠体池
图片尺寸1080x810
池2~3条海马动脉皮质支的痉挛闭塞78缺血缺氧78海马受累可造成
图片尺寸690x819
不成对的脑池(背侧):帆间池(中间帆腔),大脑大静脉池,四叠体池,小脑
图片尺寸922x1123
蛛网膜下腔出血,鞍上池,环池,四叠体池,双侧外侧裂池(以左侧为主)高
图片尺寸1012x1014
相关专业简明易懂的脑部断层解剖图谱快来收藏
图片尺寸480x546
图-9 鞍上池和环池六角形鞍上池由交叉池和脚间池组成,前角伸向两侧
图片尺寸597x441
行走在血管中的止血队长泰安市中医医院介入科微导管
图片尺寸697x634
脑干与后循环动脉的关系环池-生命之光chiari 畸形(小脑扁桃体下疝)
图片尺寸1080x809