环状胰腺图片

环状胰腺概述手术方式旷置菱形吻合环形胰腺
图片尺寸1041x1093
成人环状胰腺的诊治分享 - 好大夫在线
图片尺寸2200x1650
环形胰腺,等你分析 | 读片专栏1076期
图片尺寸750x1237
【热门】环状胰腺的病例拓展与分析!
图片尺寸180x203
图4 完全性环状胰腺及不完全性环状胰腺示意图图5 不完全性环状胰腺
图片尺寸1080x1385
【热门】环状胰腺的病例拓展与分析!
图片尺寸1066x766
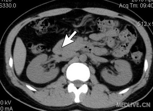
环状胰腺怎么治疗? 4个治疗环状胰腺的偏方
图片尺寸500x449
易被忽视的环状胰腺
图片尺寸640x453
易被忽视的环状胰腺
图片尺寸640x448
胰腺的剖解结构及常正rm现表 ,一胰解剖结构腺
图片尺寸1080x810
成人环状胰腺
图片尺寸960x720
环状胰腺
图片尺寸188x200
环状胰腺
图片尺寸200x150
小朋友长时间反复呕吐,睡后也吐,有可能患了这种病
图片尺寸1080x810
胰腺肿瘤病变的影像学诊断ppt
图片尺寸1080x810
环形胰腺,等你分析 | 读片专栏1076期
图片尺寸750x824
环形胰腺你知道多少
图片尺寸500x365
急性胰腺炎的护理查房ppt
图片尺寸1080x810
内科护理学急性胰腺炎.ppt 25页
图片尺寸1152x864
外在原因导致十二指肠梗阻的有:肠旋转不良,环状胰腺.
图片尺寸1478x849