球孢子菌病

临床诊断 孢子丝菌病,病理诊断 皮炎伴溃疡
图片尺寸583x438
球孢子菌病
图片尺寸183x118
特殊感染——孢子丝菌病_感染_感染相关疾病 - 好大夫在线
图片尺寸3456x4608
副球孢子菌病
图片尺寸238x240
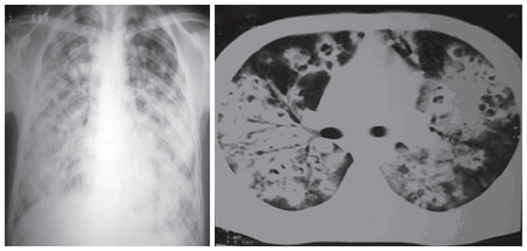
肺球孢子菌病
图片尺寸500x375
1476678812.png
图片尺寸2048x1536
病例欣赏孢子丝菌病5
图片尺寸1024x683
球孢子菌病的病因
图片尺寸400x296
植物病理学16-植物保护一班 李洁 16221241239
图片尺寸1200x1600
球孢子菌病
图片尺寸527x251
球孢子菌病
图片尺寸300x225
Ⅲ隐球酵母菌病概述:隐球酵母菌病是由新型隐球酵母菌感染引起的亚
图片尺寸640x480
考虑结肠球孢子菌病?请大家不吝赐教
图片尺寸1080x1440
程小球腔菌(水稻小球菌核病病菌 稻小粒菌核病菌 水稻小球菌核菌)
图片尺寸1728x2592
典型病例欣赏孢子丝菌病2
图片尺寸1024x1365
考虑结肠球孢子菌病?请大家不吝赐教
图片尺寸1080x1440
副球孢子菌病病理:增厚的肺泡间隔.
图片尺寸750x904
党员全部顶上去华山医院张文宏关于传染病的硬核演讲来了
图片尺寸640x360
什么是孢子菌病孢子菌病的症状及防治措施
图片尺寸500x352
孢子菌病(脓肿)
图片尺寸700x471