球结膜肿物

球结膜肿物0.7x0.7x0.2cm,男35岁.大家给看看
图片尺寸4032x3024
球结膜肿物0.7x0.7x0.2cm,男35岁.大家给看看
图片尺寸4032x3024
球结膜肿物0.7x0.7x0.2cm,男35岁.大家给看看
图片尺寸4032x3024
球结膜肿物0.7x0.7x0.2cm,男35岁.大家给看看
图片尺寸4032x3024
做眼袋手术,出现球结膜水肿怎么办?
图片尺寸376x257
五一放假了又好像没放# 今天门诊,1例结膜肿物
图片尺寸1920x1280![【眼表疾病讨论】球结膜高度水肿的原因 [病例帖]](https://i.ecywang.com/upload/1/img0.baidu.com/it/u=1642842400,58520998&fm=253&fmt=auto&app=138&f=JPEG?w=667&h=500)
【眼表疾病讨论】球结膜高度水肿的原因 [病例帖]
图片尺寸4288x3216
求助,右眼球结膜白色圆异物,不痛不痒,视力正常
图片尺寸3936x5248
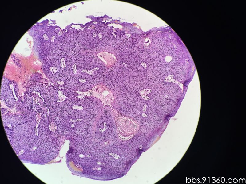
球结膜肿物病例2016.8.1【91360皮肤沙龙病例64】
图片尺寸800x600
右眼鼻侧球结膜肿物
图片尺寸965x838
结膜鳞状细胞癌结膜边缘有一个大肿块图
图片尺寸400x300
右眼鼻侧球结膜肿物
图片尺寸965x705
球结膜极度水肿
图片尺寸3264x2448
结膜水肿图片
图片尺寸750x500
右眼鼻侧球结膜肿物
图片尺寸965x796
结膜肿物一例
图片尺寸2967x1241
眼睛肿块异物感二周
图片尺寸620x828
结膜乳头状瘤下眼睑长了个肉球图
图片尺寸400x300
球结膜水肿!再也不喊养狗了!
图片尺寸690x920![结膜肿物淋巴瘤?mikulicz综合征? [病例帖]](https://i.ecywang.com/upload/1/img1.baidu.com/it/u=1309024127,3423144028&fm=253&fmt=auto&app=138&f=JPEG?w=500&h=667)
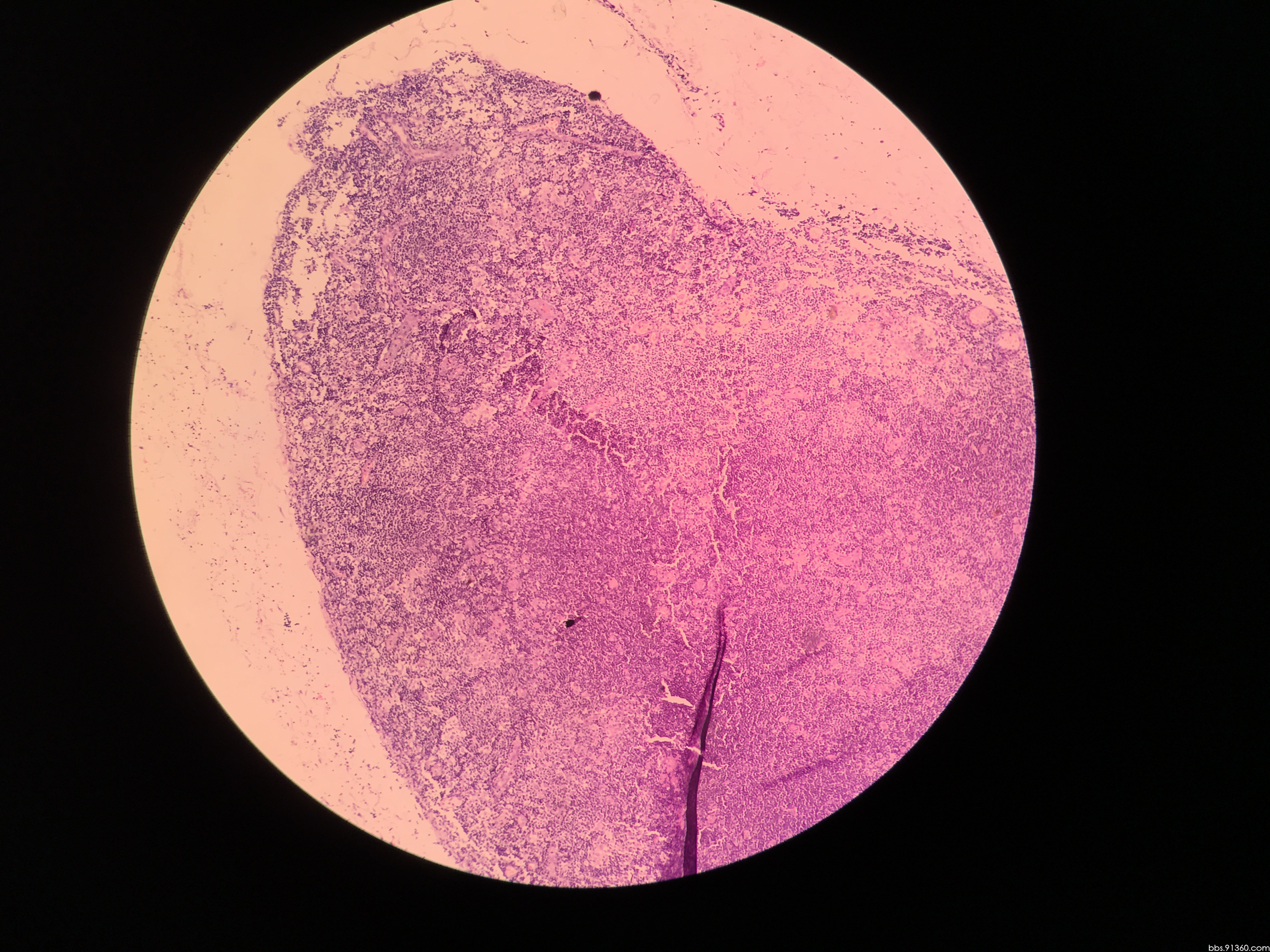
结膜肿物淋巴瘤?mikulicz综合征? [病例帖]
图片尺寸2448x3264