瓷化胆囊图片

普外科的厨师们为大家准备了一套餐具——"瓷化胆囊".
图片尺寸1080x459
典型图片瓷胆囊
图片尺寸600x450
什么是瓷性胆囊?_结石
图片尺寸3456x4608
切除的瓷化胆囊
图片尺寸431x384
虞城县人民医院肝胆胃肠外科成功实施双镜联合瓷化胆囊切除,胆总管
图片尺寸800x450
胆囊瓷化的情况临床相对少见.
图片尺寸720x636
这样的胆囊大家见过么
图片尺寸400x301
瓷化胆囊
图片尺寸2592x1728
瓷化胆囊
图片尺寸505x375
成都85岁老人胆囊变"陶瓷" 内藏7颗结石
图片尺寸520x351
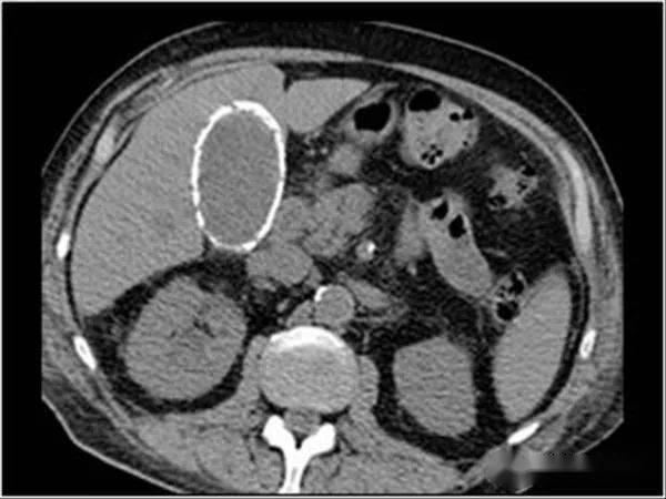
瓷器样胆囊 亳州市人民医院 影像中心
图片尺寸1080x810
瓷化胆囊?
图片尺寸2592x1728
我的胆囊结石从来都没有疼过,这种情况需要手术治疗吗?
图片尺寸550x544
胆囊结石_胆囊结石治疗方式 - 好大夫在线
图片尺寸2736x3648
成都85岁老人胆囊变"陶瓷" 胆囊内竟藏7颗结石
图片尺寸500x333
胆囊的后端圆钝为胆囊底吗?绝大部分的人胆囊在右上腹(4)
图片尺寸640x412
什么是瓷化胆囊?
图片尺寸616x439
消失的胆囊鸠占鹊巢
图片尺寸640x266
隐匿癌的瓷化胆囊一例
图片尺寸534x360
腹腔镜胆囊切除术?还是保胆取石?60岁退休老医生说出真相
图片尺寸600x391