瓷贴面

斯迈尔齿科高强超薄瓷贴面,方寸间微雕牙形牙色
图片尺寸1050x623
树脂贴面和瓷贴面有什么区别
图片尺寸750x400
灵魂作品#全瓷贴面 #牙齿美白 #美牙贴面 #全瓷贴片 #海 - 抖音
图片尺寸1080x1440
瓷贴面的缺点不是脆弱其实是
图片尺寸727x708
唇红齿白的诱惑,全瓷贴面,你,值得拥有
图片尺寸1080x780
超薄不磨牙瓷贴面会有副作用吗? - 知乎
图片尺寸4050x1311
牙齿不美观,使用瓷贴面真的有优势吗?
图片尺寸4143x2762
瓷贴面会脱落吗?
图片尺寸640x320
全瓷贴面
图片尺寸738x1026
一颗瓷贴面多少钱
图片尺寸640x395
有没有牙齿做过瓷贴面或树脂贴面的朋友分享一下使用体验,愉快,自信
图片尺寸720x2147
铂尔汀|不同材质的牙齿贴面区别在哪?又该如何选择?看完就懂!_全瓷
图片尺寸690x457
私人超薄瓷贴面.明星定制贴面多少钱
图片尺寸2596x1701
瓷贴面
图片尺寸496x306
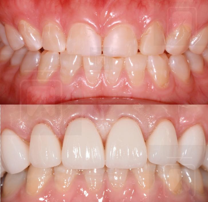
瓷贴面的效果怎样
图片尺寸1129x636
牙齿牙贴 牙齿全瓷贴面美牙贴炫白牙贴去黄去污贴 牙齿套装
图片尺寸790x1478
骏莱美形象商学院: 骏莱美-明星同款超薄全瓷贴面 做牙齿修护的好处
图片尺寸1080x1080
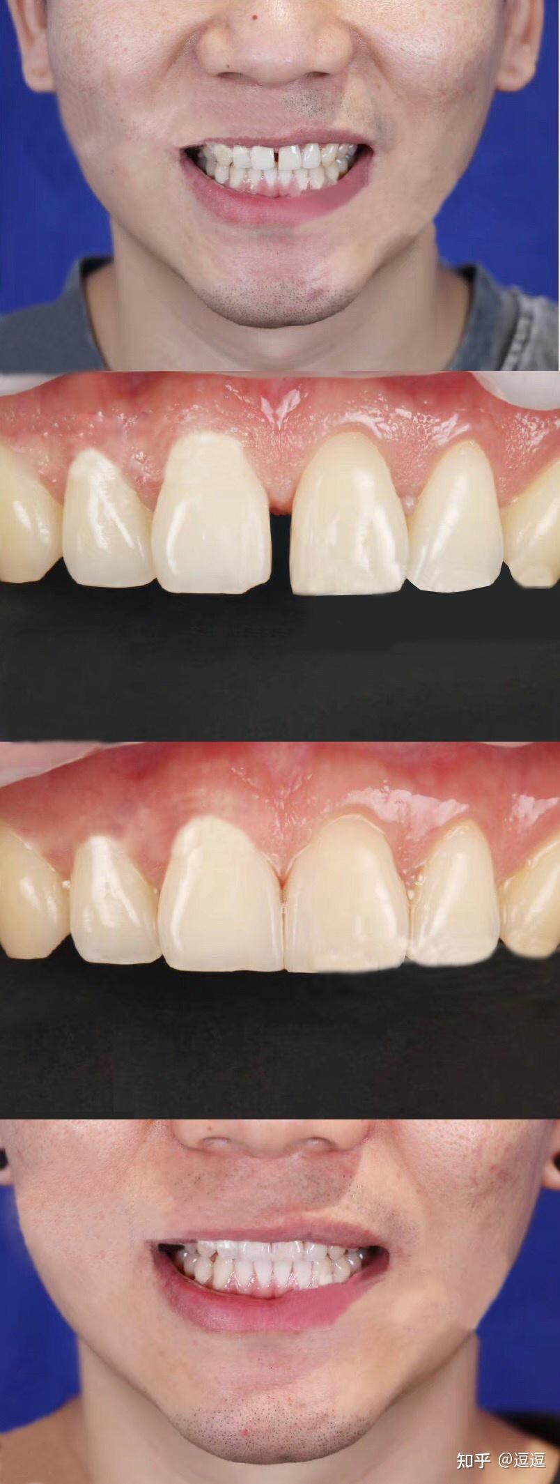
武汉仁爱口腔瓷贴面快速关闭门牙牙缝隙
图片尺寸804x2129
前牙瓷贴面美容修复一例 - 好大夫在线
图片尺寸2144x1424
搞到宁波市牙科医院牙齿瓷贴片价格表且明白宁波全瓷贴面多少钱一颗
图片尺寸503x600