瓷贴面粘接

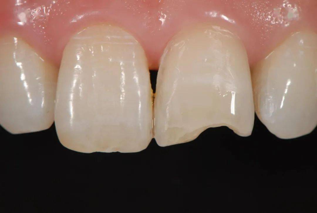
一步一步教你粘接超薄瓷贴面
图片尺寸1080x720
黄叶君瓷贴面的设计预备和粘接
图片尺寸640x360
瓷贴面的步骤有哪些呢?_美牙_耐高温_磨牙_超薄瓷贴面_美妆_医美整形
图片尺寸1080x540
前牙龋坏微创修复——瓷贴面
图片尺寸1331x557
前牙瓷贴面美容修复一例 - 好大夫在线
图片尺寸2144x1424
唇红齿白的诱惑,全瓷贴面,你,值得拥有
图片尺寸1080x780
瓷贴面修复--奥美口腔韦医生
图片尺寸1799x1191
vitique瓷贴面粘接系统的临床应用
图片尺寸1280x720
牙科口腔瓷贴面粘接棒烤瓷牙齿片嵌体牙冠瓷贴面高粘性豆瓣粘结棒
图片尺寸800x800
前牙瓷贴面修复
图片尺寸1600x1198
前牙瓷贴面修复
图片尺寸1600x1198
瓷贴面修复牙黄牙间隙试戴过程
图片尺寸720x1280
瓷贴面
图片尺寸570x754
瓷贴面的粘接步骤和要点
图片尺寸560x372
【转载国外病例】瓷贴面粘接
图片尺寸640x426
牙医学堂瓷贴面的粘接前应该做哪些准备工作
图片尺寸640x330
瓷贴面修复到底有多神奇!
图片尺寸1080x810
超薄瓷贴面修复心得整牙全过程揭秘92
图片尺寸1800x2400
瓷贴面显微镜下粘接.
图片尺寸1138x640
微创瓷贴面粘接剂的选择vitique瓷贴面粘接剂的临床应用体验
图片尺寸1080x725