甲亢消瘦

甲亢五个月,数值趋近正常
图片尺寸1080x763
甲亢脖子症状图片 (51)
图片尺寸309x437
关于甲亢你想了解的都在这
图片尺寸1024x682
甲亢脖子症状图片 (51)
图片尺寸400x300
2,皮肤干燥变黄头发稀疏 10000 甲减肥胖甲亢消瘦 00 - 抖音
图片尺寸862x1920
甲亢症状图片
图片尺寸1242x828
早期会引起甲亢的症状,如心慌,汗多,手抖,消瘦,眼睛突出等
图片尺寸644x436
甲亢表现为:眼凸,面色潮红,脖子粗,饭量大体重减少,心率加速,多汗怕热
图片尺寸1777x1280
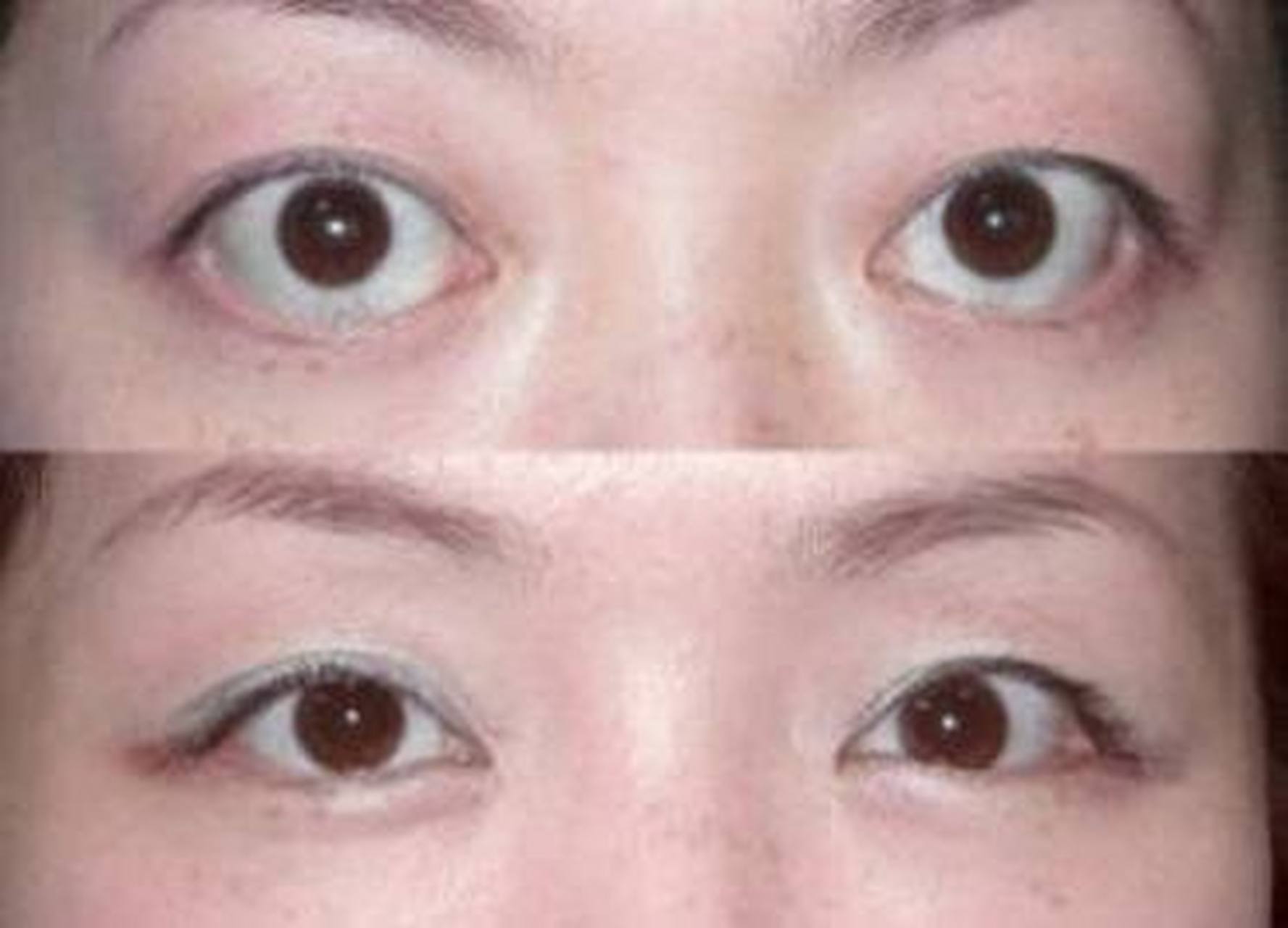
甲亢眼部图片
图片尺寸568x400
甲亢脖子症状图片 (51)
图片尺寸305x444
甲状腺疾病饮食指导甲减篇
图片尺寸347x288
甲亢一定会瘦,甲减一定会胖吗?
图片尺寸1080x1920
甲亢手术病例分析8年甲亢患者为什么最终选择外科手术治疗
图片尺寸660x1148
甲亢的早期脖子图片 (6)
图片尺寸644x400
一起来看看甲亢都有什么症状吧!
图片尺寸1440x1080
甲亢131碘治疗
图片尺寸476x416
2021-2022第九届"蝴蝶行动"全国甲状腺公益援助工程"华中站"|甲亢
图片尺寸531x449
一张图自测是否有甲亢(一张图帮你判断是否有甲亢)-体检百晓生
图片尺寸1080x649
男子一天吃10顿却暴瘦110斤,确诊为甲亢_患者_体重_甲状腺
图片尺寸640x350
甲亢佳治疗方法
图片尺寸600x450