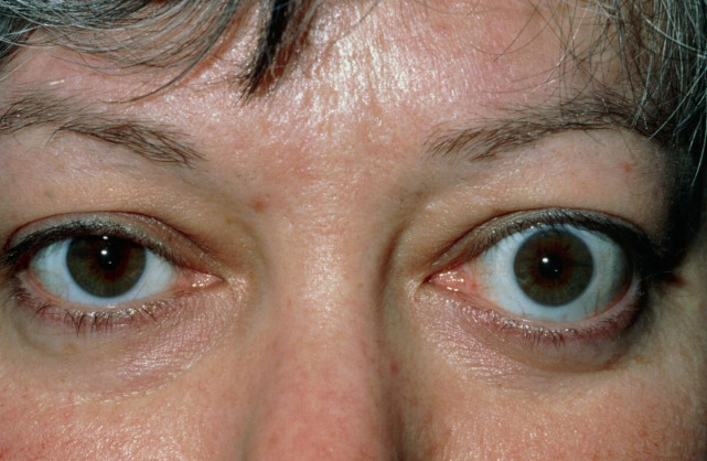
甲亢眼睛照片

这是一个典型的甲亢患者眼征,眼睛外突,脉络充盈,白 - 抖音
图片尺寸1920x1920
甲亢突眼
图片尺寸427x298
甲亢突眼–眼眶减压术给病友们参考
图片尺寸1536x2048
"大眼睛"的烦恼——甲亢突眼患者从天津赴四川千里寻医获治疗|手术
图片尺寸400x220
甲亢突眼
图片尺寸364x497
近期甲亢突眼患者治疗对照照片 - 好大夫在线
图片尺寸664x680
整形手术可以在一定程度上改善以及缓解由甲亢引起的眼突.
图片尺寸1707x1280
甲亢——突眼
图片尺寸591x405
甲亢大脖子图片详解(甲状腺功能亢进的3种表现) - 免费seo诊断咨询
图片尺寸1200x831
甲亢患者眼征
图片尺寸663x450
甲亢为什么会引起眼突?一文看懂甲状腺相关眼病_网易订阅
图片尺寸640x240
好痛苦,为什么我会得甲亢突眼?
图片尺寸640x245
甲状腺相关性眼病的治疗_甲亢突眼_介绍_缓解方法 - 好大夫在线
图片尺寸1019x446
美女大眼睛炯炯有神最近开车却老是路怒症被扣分一查是甲亢
图片尺寸641x418
核医学治疗甲亢浸润性突眼无痛,无创,疗效好(哈尔滨黑龙江省森
图片尺寸540x351
甲亢突眼
图片尺寸1200x831
甲亢突眼
图片尺寸664x362
北京甲亢突眼医院_北京治疗甲亢突眼哪家医院好_北京治疗甲亢突眼最好
图片尺寸357x493
重症甲亢突眼怎么治疗?
图片尺寸512x398
甲亢都会影响眼睛?小儿得了甲亢会影响发育吗?对肝脏有影响吗?
图片尺寸402x301