甲状腺切片 细胞

显微镜下的单纯甲状腺肿
图片尺寸1200x801
左侧甲状腺
图片尺寸5120x3840
细胞聚集点击查看答案第8题下列哪些可作为诊断甲状腺功能亢进的手段
图片尺寸454x338
甲状腺组织胚胎学及生理学
图片尺寸640x358
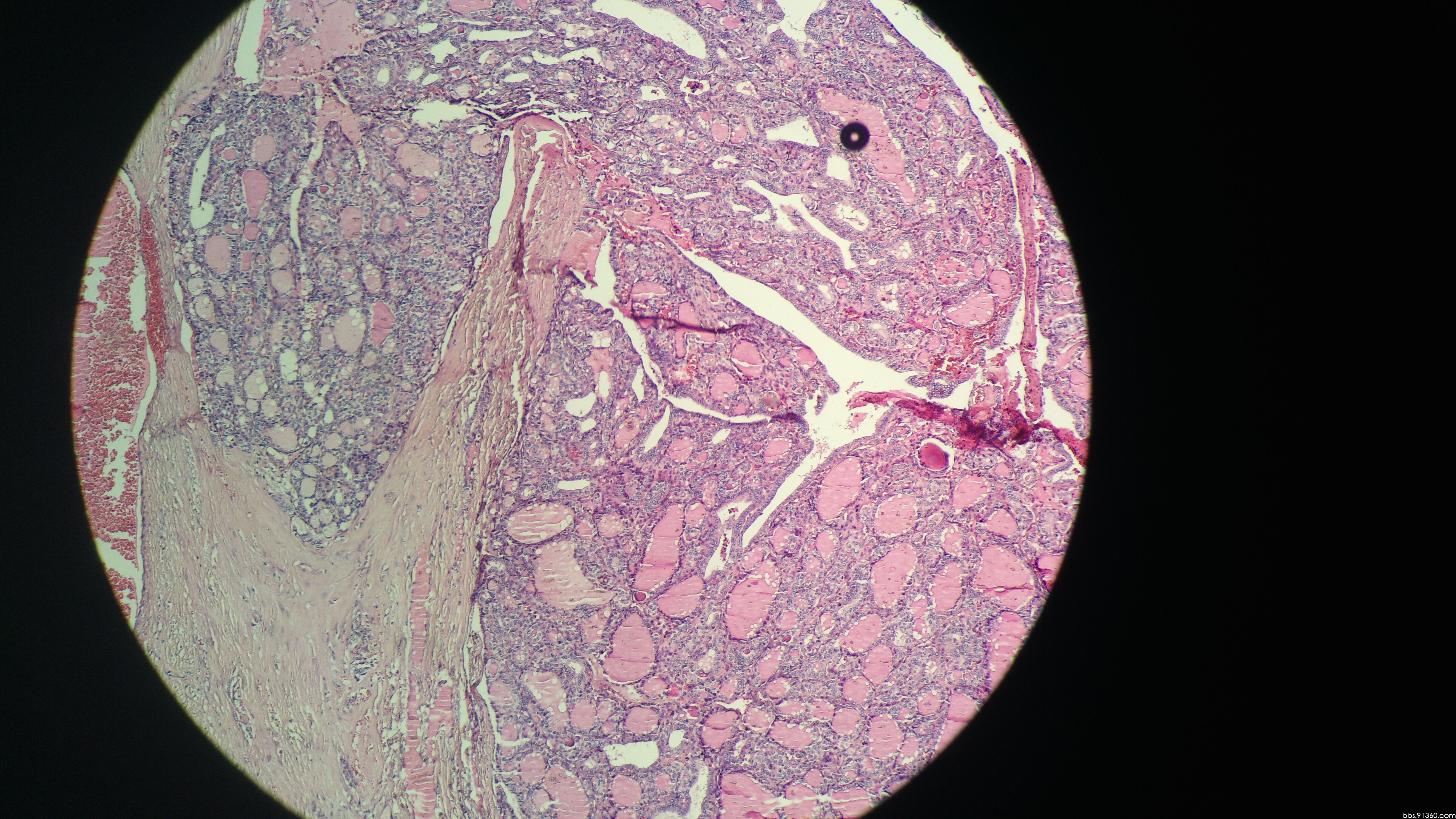
女26岁,甲状腺
图片尺寸5312x2988
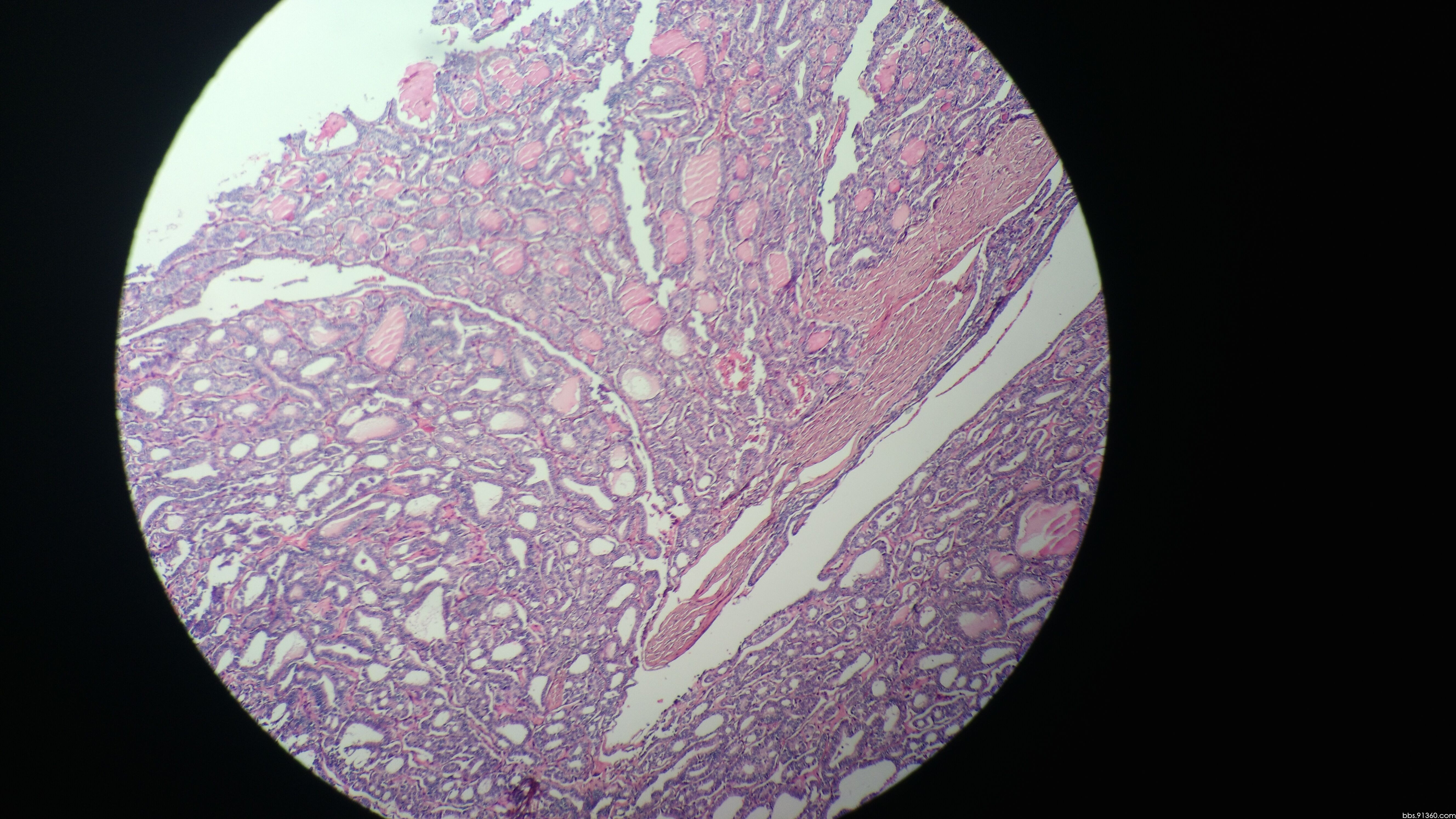
女26岁,甲状腺
图片尺寸5312x2988
显微镜下人类甲状腺肿大的细胞.
图片尺寸1200x800
放大4倍的甲状腺细胞
图片尺寸1138x640
在显微镜下有肿胀的人甲状腺细胞.照片
图片尺寸450x300
甲状腺结节,形状一样,内涵大不同,术中冰冻切片明确诊断,指导治疗.
图片尺寸2736x2736
请求各位战友帮忙看看甲状腺的病理切片,像是什么病变?
图片尺寸1388x1040
显微镜下的单纯甲状腺肿
图片尺寸1200x801
p>甲状腺 br>100*和400*切片 /p>
图片尺寸1280x960
htori3cell人正常甲状腺细胞
图片尺寸2040x1528
请求各位战友帮忙看看甲状腺的病理切片,像是什么病变?
图片尺寸1388x1040
甲状腺穿刺涂片 - 细胞病理 - 91360病理论坛
图片尺寸4032x3024
甲状腺
图片尺寸1080x1920
甲状腺穿刺 细胞学诊断良性 提示临床除外hashimoto讨论病例【中美加
图片尺寸4032x3024
甲状腺光镜像(高倍),请判断图中3所示的是何种细胞.()
图片尺寸576x462
甲状腺 求助
图片尺寸1024x768