甲状腺右叶结节

甲状腺结节治疗方法的选择
图片尺寸610x457
术后一周的最终病理结果是:甲状腺右叶结节性甲状腺肿,伴囊性变贾局
图片尺寸650x867
甲状腺结节的良性与恶性,如何自我辨别?
图片尺寸500x375
甲状腺结节
图片尺寸641x500
多次b超提示甲状腺结节恶性,下一步怎么办?
图片尺寸641x855
甲状腺长了结节怎么办中医调理可自然消结
图片尺寸640x421
超声印象:甲状腺右叶结节,高风险,建议甲穿.
图片尺寸750x1000
对于甲状腺结节患者,调整饮食和生活习惯是非常重要的.
图片尺寸640x439
甲状腺右叶结节
图片尺寸1080x1440
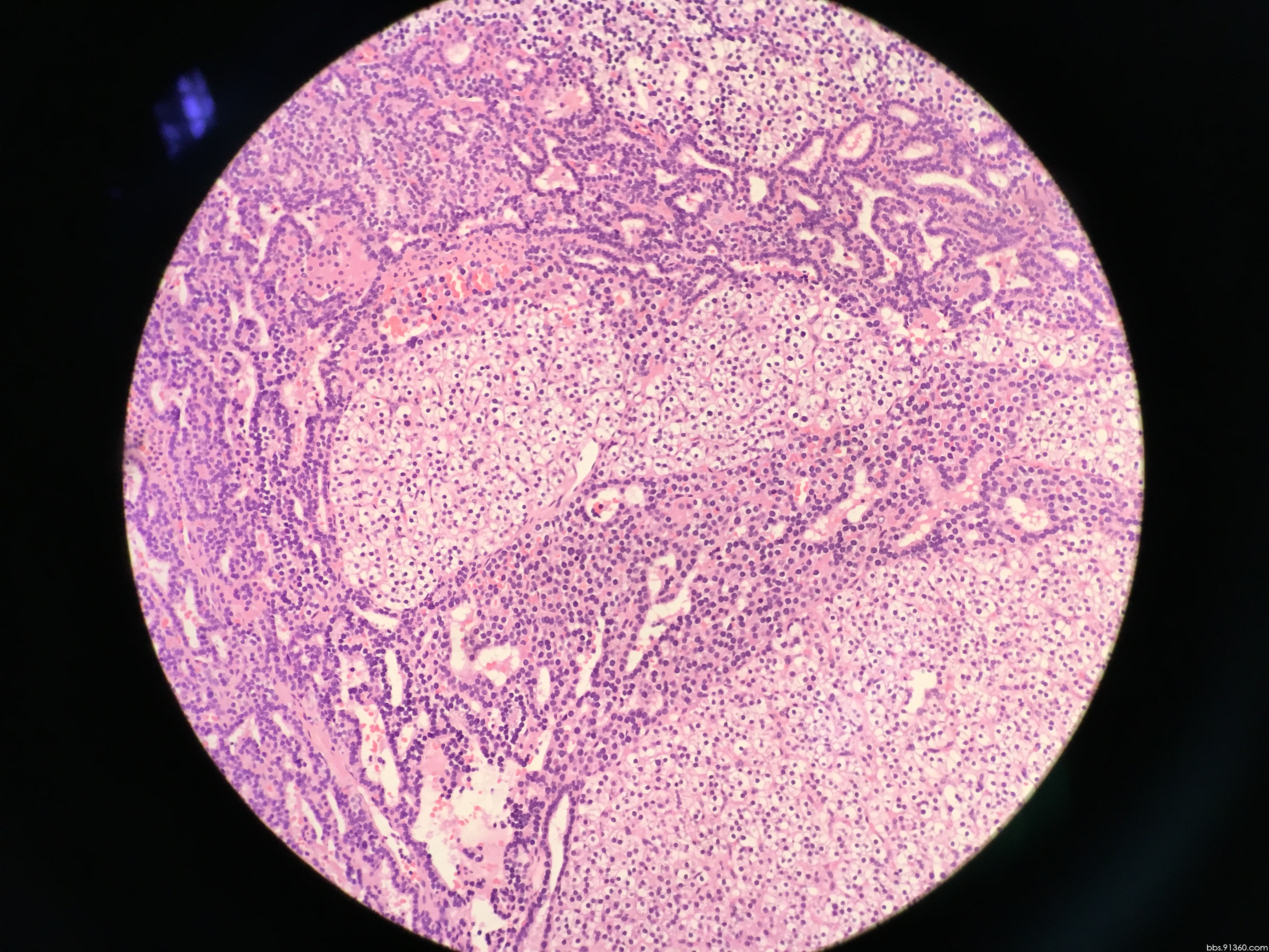
【病理已公布】右侧甲状腺结节,有病理,欢迎讨论.
图片尺寸640x877
老人年龄较大,长甲状腺结节,不想手术,该怎么办?
图片尺寸640x640
甲状腺结节不开刀,超声引导下微波消_甲状腺结节_手术_饮食运动_治疗
图片尺寸712x523
50岁女性患者,体检发现右侧甲状腺有较硬结节,ct扫描如图所示,请言耨
图片尺寸493x371
甲状腺结节(来源于uptodate)
图片尺寸826x925
甲状腺右叶结节
图片尺寸4032x3024![【读片】再来一例甲状腺小结节,请相沙老师指教为谢! [病例帖]](https://i.ecywang.com/upload/1/img0.baidu.com/it/u=470355030,3968399825&fm=253&fmt=auto&app=138&f=JPG?w=500&h=500)
【读片】再来一例甲状腺小结节,请相沙老师指教为谢! [病例帖]
图片尺寸512x512
甲状腺右叶结节
图片尺寸4032x3024
haodf:8:jiazhuangxianjiejie-->甲状腺结节 !
图片尺寸946x1071
甲状腺结节的艾灸调理
图片尺寸500x424
甲状腺结节
图片尺寸780x439