甲状腺滤泡

甲状腺模式图
图片尺寸1080x810
甲状腺滤泡
图片尺寸1080x810
在甲状腺中,滤泡上皮细胞单层排列,形成泡状结构,腔内充满了胶状的
图片尺寸804x1144
滤泡型甲状腺乳头状癌究竟是不是癌?
图片尺寸304x400
甲状腺滤泡 不同大小
图片尺寸1080x810
毒性甲状腺肿:滤泡上皮乳头状增生,可见吸收空 泡,淋巴细胞浸润 淋巴
图片尺寸1080x810
甲状腺滤泡上皮细胞有合成,贮存和分泌甲状腺激素的功能.
图片尺寸472x475
甲状腺的细胞叫滤泡上皮细胞甲状腺里面有2种重要的细胞让患者吞口水
图片尺寸660x738
甲状腺滤泡
图片尺寸1080x810
用放大镜看甲状腺,是由很多滤泡组成的.
图片尺寸1080x439
甲状腺滤泡腔(其他生物相关)
图片尺寸960x633
单层立方上皮(甲状腺滤泡)
图片尺寸1080x810
学期结束啦,组胚画图大合集来啦#甲状腺滤泡 #红细胞 #中性粒细胞 #小
图片尺寸1080x809
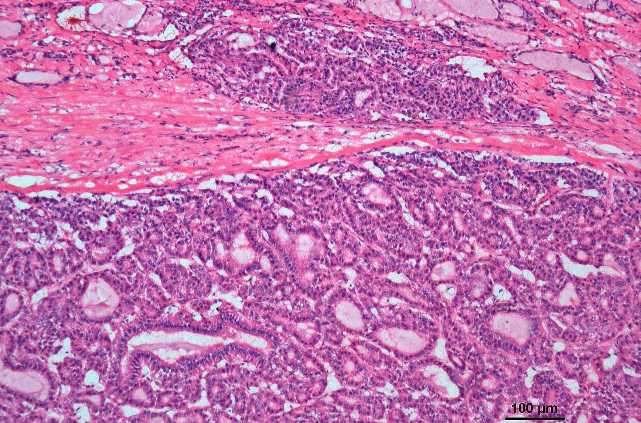
极其罕见6015巨大多发甲状腺滤泡性ai一例分享
图片尺寸1080x1017
甲状腺滤泡状
图片尺寸1280x845
甲状腺 写美篇甲状腺通过主动转运方式将小肠吸收人血的碘摄人滤泡上
图片尺寸2000x2667
滤泡旁细胞 滤泡旁细胞
图片尺寸1080x810
这些滤泡内衬上皮,充满胶质.甲状腺滤泡大小略有差别.
图片尺寸504x337
甲状腺滤泡b滤泡由单层立方上皮组成c滤泡腔内含胶质d滤泡间血管非常
图片尺寸454x338
内分泌系统 甲状腺叮咚~ share with you3,168 人赞同了该文章
图片尺寸2000x1500