甲状腺眼病

医学生笔记什么是甲状腺相关性眼病
图片尺寸1080x542
记一位甲状腺相关眼病患者的心路历程
图片尺寸1272x764
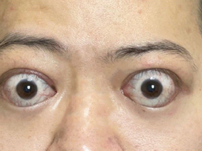
甲状腺相关眼病眼睛圆瞪眼眶胀痛图
图片尺寸400x300
大眼睛的烦恼聊聊甲状腺相关眼病
图片尺寸720x1161
我做甲亢一年多了,开始没有这么严重,后来这半年多甲亢突眼
图片尺寸1440x2736
甲状腺相关眼病的病理生理
图片尺寸258x286
指南共识 l 2022ata/eta联合共识:甲状腺眼病管理:诊断和评估部分**
图片尺寸1080x978
甲状腺_相关_眼病
图片尺寸1000x700
甲状腺相关性眼病的治疗
图片尺寸640x420
这种大眼睛是病,眼睛不适,凸眼,如何治疗甲状腺眼病?
图片尺寸660x471
甲状腺眼病是什么原因导致的?
图片尺寸640x394
甲亢突眼别再误信"稳定后再治" 大家好,我们来聊
图片尺寸800x548
重度突眼重度突眼的患者眼球突出严重,眼球固定不动,甲状腺相关性眼病
图片尺寸378x288
眼球_危象_甲状腺
图片尺寸888x452
甲状腺眼病治疗里程碑突破性非手术疗法tepezza横空出世
图片尺寸1080x561
甲状腺相关眼病的症状和图片 - 有来医生
图片尺寸400x300
甲状腺生病,会让你的眼睛发生这样的变化!_相关_眼病_患者
图片尺寸1080x1080
甲状腺眼病
图片尺寸1716x955
得了甲状腺疾病,眼睛"很受伤",严重时会致盲_相关_眼病_患者
图片尺寸1080x810
4期试验数据:tepezza改善慢性甲状腺眼病患者的眼球突出
图片尺寸1000x484