甲状腺眼睛

中年型男斜视,右眼无法向上转动 竟是甲状腺亢进害眼病变惹祸
图片尺寸600x404
甲亢突眼
图片尺寸427x298
中国2亿人患有甲状腺疾病这7大知识你必须知道
图片尺寸493x335
甲状腺功能亢进的人,身体或有3种表现,不妨自查一下
图片尺寸1200x831
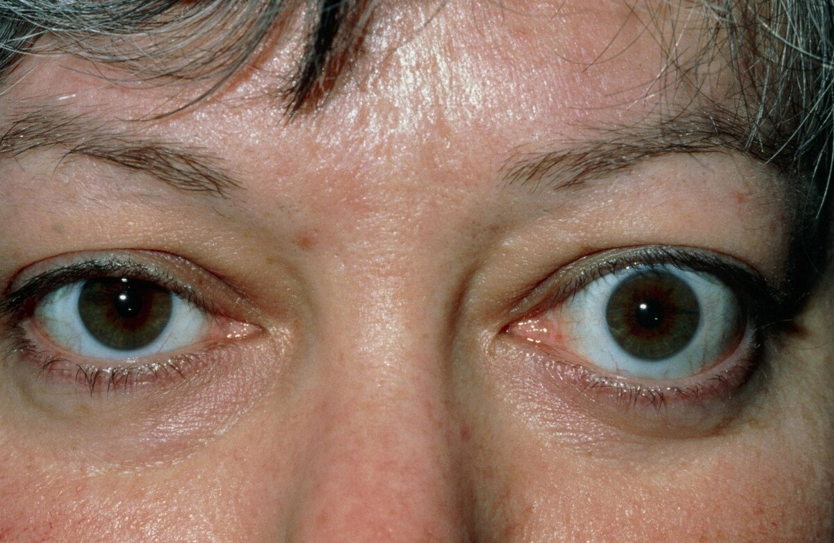
甲状腺相关眼病患者,眼球外凸
图片尺寸400x220
年龄,性别不同,突眼性甲状腺肿的症状也不同
图片尺寸449x299
福州爱尔眼科医院专家成功完成甲状腺相关性眼病眶减压之内镜微创治疗
图片尺寸554x387
一文看懂甲状腺相关眼病_眼球_眼睛_疾病
图片尺寸900x338
大眼睛不一定是好事或许是甲状腺在作祟
图片尺寸1080x601
甲亢突眼在甲状腺功能亢进症的患者中非常常见,能够占30%左右.
图片尺寸1200x782
graves眼病系列病例⑤眼眶减压联合甲状腺切除手术_甲亢突眼_甲亢突眼
图片尺寸844x384
图解甲状腺相关眼病的严重程度和干预等级
图片尺寸1417x542
张先慧主任分享神了甲状腺好不好看眼睛就知道
图片尺寸415x368
甲状腺相关眼病患者,眼球重度突出眼眶减压术后,眼球回退到正常位置
图片尺寸523x308
眼球突出肯定就是甲状腺的毛病吗?_眼睛
图片尺寸369x197
甲状腺眼病手术效果照片 - 好大夫在线
图片尺寸1273x808
甲状腺相关眼病纵览
图片尺寸610x377
甲亢# #医路有你# 得了甲状腺功能亢进(甲亢)后,一些患者可能会出现
图片尺寸1920x1280
甲状腺眼病最佳治疗方案
图片尺寸600x440
眼球突出怎么办武汉艾格眼科提醒当心甲状腺相关眼病
图片尺寸739x344