电子烟爆米花肺

蓝洞辟谣:青年大院电子烟文章系网络资料拼凑,存在多处知识性硬伤
图片尺寸606x1276
电子烟对人也有危害
图片尺寸750x563
若频繁且大量吸电子烟,有可能导致吸烟者出现"爆米花肺"或闭塞性细支
图片尺寸640x413
小野电子烟爆米花肺
图片尺寸600x417
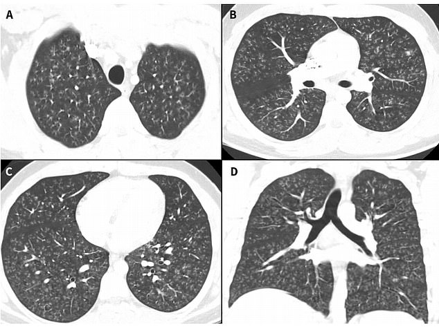
电子烟5个月,险些造成肺部完全损毁,健康严重受损,症状和"爆米花肺"有
图片尺寸543x379
官方首次明确电子烟危害这份报告戳破电子烟最大的谎言
图片尺寸1080x605
爆米花肺
图片尺寸5120x3840
震惊你所吸的电子烟可能让你拥有爆米花肺
图片尺寸607x722
一起来看看传说的爆米花肺到底是怎么形成的
图片尺寸843x1498
电子烟气流中的香味化学成分双乙酰引起的,双乙酰又是爆米花香味的
图片尺寸1080x611
最耸人听闻的爆米花肺你真的好好了解过吗跟随我们一起揭开这个神秘的
图片尺寸700x300
二,吸电子烟多久能成"爆米花"肺?
图片尺寸528x493
电子烟正在毒害青少年肺部像爆米花一样面目全非
图片尺寸634x473
科普吸电子烟当心爆米花肺
图片尺寸600x300
电子烟会引发"爆米花肺病"吗?
图片尺寸600x412
还在吸食电子烟小心你的肺变成爆米花
图片尺寸355x235
电子烟的危害
图片尺寸600x334
17岁少年肺被炸成爆米花罪魁祸首也许你家也有
图片尺寸960x605
17岁少年肺被炸成爆米花这个罪魁祸首你家也许有
图片尺寸475x295
加拿大17岁少年因抽电子烟把肺变成了爆米花肺
图片尺寸416x433