男性尿道口囊肿的症状

尿道口流脓是男性疾病中比较常见的症状.
图片尺寸350x302
男性吃什么才健康的目录
图片尺寸450x296
而尖锐湿疣感染男性后的症状表现男性尖锐湿疣,多出现在尿道口上,在
图片尺寸345x382
患有前列腺囊肿又该怎么治疗
图片尺寸451x280
前列腺囊肿的症状有哪些_昆明男健医院官网网站
图片尺寸366x316
番禺区治疗前列腺炎专业的医院
图片尺寸793x619
三男性出现尿频尿急尿痛尿道口红肿男性出现此症状,若伴有夜间阴茎痛
图片尺寸2524x1280
如果包皮完全覆盖尿道口,但是很容易就能翻上去,完全露出"鸟头",就是
图片尺寸970x578
尿道口痒的原因_尿道口痒的表现_尿道口痒的治疗方法_症状查询_久久
图片尺寸300x220
发病初期典型症状为尿道口灼痒,排尿灼痛.
图片尺寸500x320
王先生的各种症状依旧存在,并在两天后逐步加重,伴有尿道口红肿,排尿
图片尺寸1280x720
男性朋友一旦出现了前列腺囊肿的症状,一定要抓紧时间就
图片尺寸416x220
时间一长,小王发现自己出现了尿频,尿道口红肿,尿不尽等不适症状,小王
图片尺寸1258x802
预示着尿道口已经出现了纤维化的情况,与肾炎以及男性不育有一定的
图片尺寸1080x947
宝宝囊肿怎么形成的
图片尺寸408x265
男性尿道由生殖膈分为前后两部分.
图片尺寸347x220
男性尿道图
图片尺寸1242x828
如:包皮腔内乳白色块状物——包皮垢,尿道口,包皮处囊肿,包皮粘连等
图片尺寸335x295
朱医生告诉你 尖锐湿疣,尤其是男性尿道口的尖锐湿疣,通常发生在没有
图片尺寸2177x1280
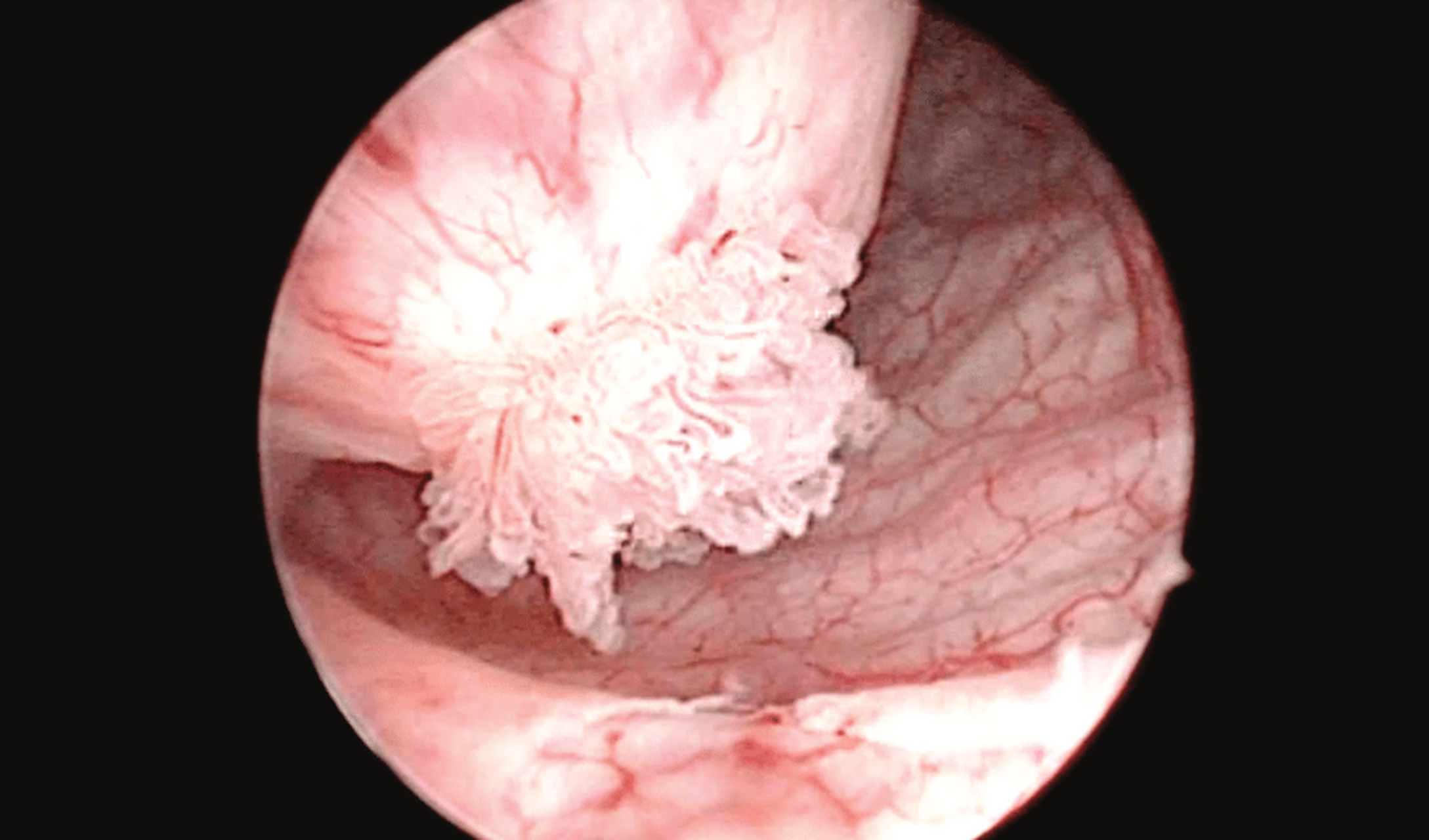
手术后1周的术腔,会厌囊肿已经切除,双声带无粘连,声带和会厌创缘可以
图片尺寸3003x3267