男性扁平胸

扁平胸会压迫心脏吗?
图片尺寸1944x2592
也是有点小胸的男人
图片尺寸1080x1439
男性2乳过于凸起的问题
图片尺寸600x712
男性乳房什么作用,男性胸有什么作用--稻草号
图片尺寸450x301
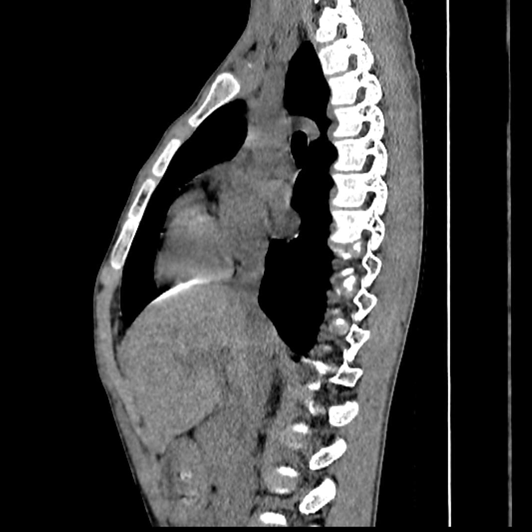
该患者为男性,17岁,身高183,胸廓前后径缩短,中间明显凹陷,诊断为扁平
图片尺寸403x605
扁平胸合并漏斗胸手术案例
图片尺寸990x517
18岁男性扁平胸该如何锻炼扩大胸廓?
图片尺寸720x1281
上医院检查一下,大夫说我有扁平胸,并且我拍了一张x光,发现我的椎骨到
图片尺寸500x542
扁平胸合并漏斗胸手术案例
图片尺寸454x599
漏斗胸和鸡胸,扁平胸如何区别?
图片尺寸512x512
胸膜严重黏连的大面积漏斗胸合并扁平胸手术
图片尺寸1072x624
5,比如扁平胸患者,其比值可以达到1:2.
图片尺寸780x850
漏斗胸和鸡胸,扁平胸如何区别?
图片尺寸1080x1080
该患者为男性,17岁,身高183,胸廓前后径缩短,中间明显凹陷,诊断为扁平
图片尺寸445x616
男性的胸部虽然扁平,但也是有一定立体感的,可以在胸部的下边缘排出
图片尺寸749x709
青年性驼背病变的位置主要是中下段胸椎椎体病因尚不明确
图片尺寸640x384![异常 [chest physical examination] 扁平胸(flat chest) 肺tb](https://i.ecywang.com/upload/1/img1.baidu.com/it/u=3299769927,1770479916&fm=253&fmt=auto&app=138&f=JPEG?w=667&h=500)
异常 [chest physical examination] 扁平胸(flat chest) 肺tb
图片尺寸1080x810
男人胸部大原来也有烦恼?越来越沉?
图片尺寸600x569
今天上午的3台胸廓畸形手术|扁平胸|侧位片|胸廓|-健康界
图片尺寸285x357
我是先天胸部发育不好,扁平胸使我多年以来一直都很自_圈子-新氧美容
图片尺寸344x258