番泻叶晶纤维

中药鉴定学 番泻叶 显微鉴别 粉末:淡绿色或黄绿色.
图片尺寸1282x1280
番泻叶晶鞘纤维 番泻叶气孔观察 取番泻叶粉末少许,置于滴加1~2滴水合
图片尺寸1080x1438
番泻叶晶鞘纤维
图片尺寸1080x1438
番泻叶显微鉴别 1.晶纤维 2.气孔(平轴式) 3.非腺毛
图片尺寸1156x578
番泻叶显微粉末图 晶纤维,非腺毛,草酸钙簇晶,上下表皮细胞及气孔
图片尺寸1280x1706
番泻叶粉末显微特征图 ·非腺毛--单细胞,壁厚,基部弯曲,具疣状凸起
图片尺寸1280x1706
中药粉末特征 番泻叶(晶鞘纤维,平轴式气孔,表皮组织) 红花(分泌细胞
图片尺寸1280x959
中药鉴定学 番泻叶 显微鉴别 粉末:淡绿色或黄绿色.
图片尺寸1282x1280
中药番泻叶的显微特征
图片尺寸1440x1920
p>番泻叶显微鉴别 br>1.晶纤维 br>2.气孔(平轴式) br>3.非腺毛 /p>
图片尺寸1156x578
p>番泻叶显微粉末图 br>晶纤维,非腺毛,草酸钙簇晶,上下表皮细胞及
图片尺寸1280x1706
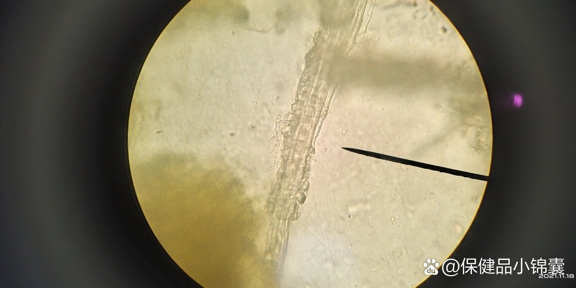
晶纤维非常清楚
图片尺寸2000x2667
晶纤维(有方晶,有纤维)我是黄柏
图片尺寸1200x1600
番泻叶粉末图 1.表皮细胞及气孔 2.非腺毛 3.晶鞘纤维 4.
图片尺寸801x812
(3号)黄柏――晶纤维
图片尺寸1080x1440
番泻叶粉末显微
图片尺寸1080x1080
中药番泻叶粉末显微鉴定
图片尺寸1280x1047
晶纤维
图片尺寸2000x2667
中药番泻叶的显微特征
图片尺寸1080x1440
番泻叶显微鉴别
图片尺寸1156x578