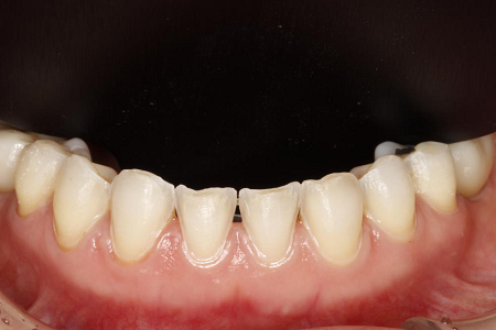
畸形牙贴面

昆明牙贴面修复:牙齿贴片后嘴巴会凸嘛?_全瓷_表面_粘结
图片尺寸720x479
病例前牙烤瓷贴面修复一例
图片尺寸1080x607
前牙瓷贴面美容修复一例 - 好大夫在线
图片尺寸2144x1424
病例前牙烤瓷贴面修复一例
图片尺寸1080x608
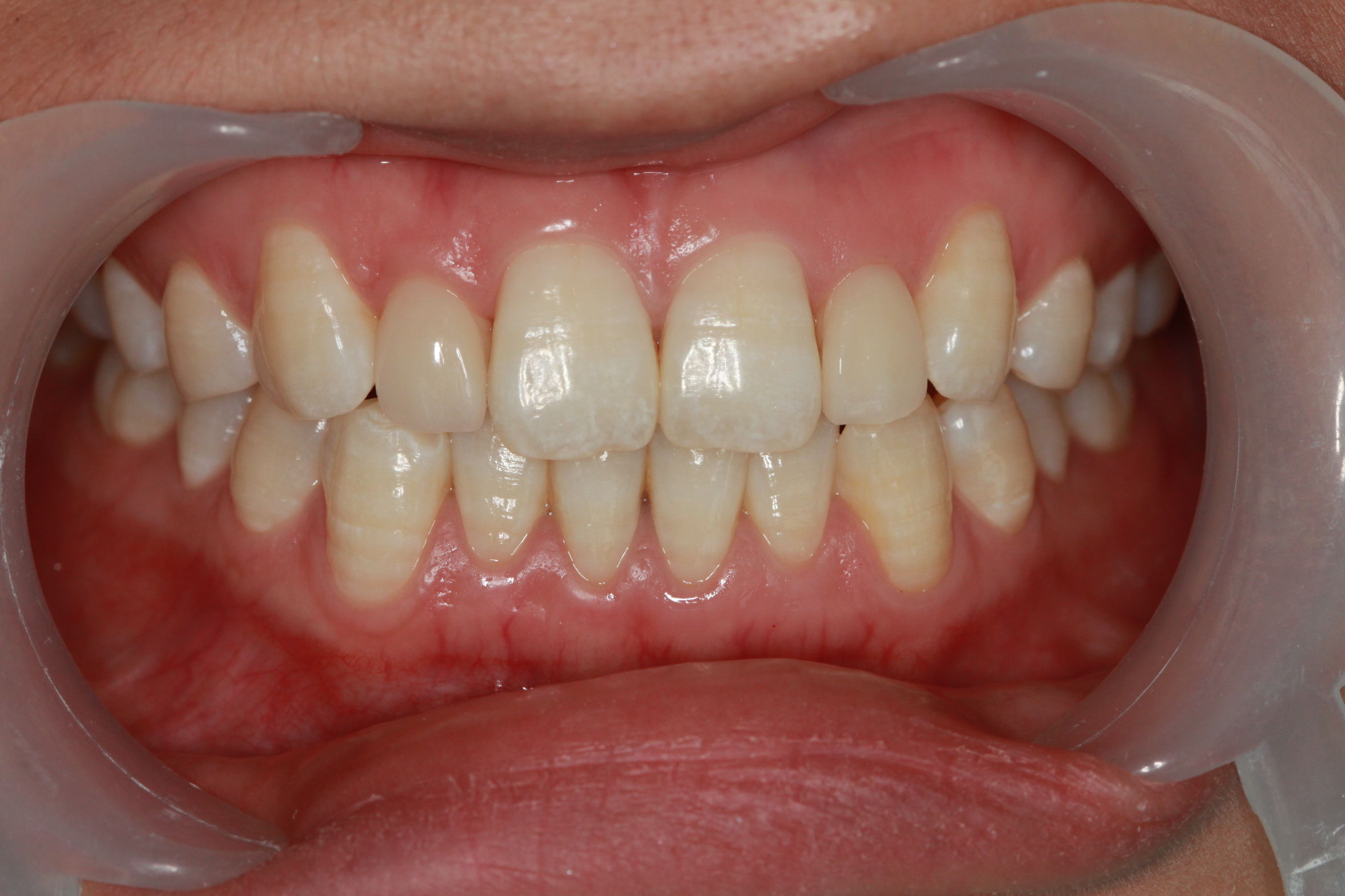
病例四:贴面修复畸形牙 - 好大夫在线
图片尺寸2352x1568
瓷贴面前后对比图瓷贴面效果图瓷贴面前后对比照片
图片尺寸690x350
毕节盛华口腔|氟斑牙,四环素牙,歪扭畸形牙不再难治疗了!
图片尺寸1080x1290
美加贴面案例:这种牙缺损,不用再做烤瓷冠,选美加贴面轻松修复
图片尺寸800x554
瓷贴面为什么好?
图片尺寸1247x823
瓷贴面解决前牙美观问题
图片尺寸2447x1146
修复病例:前牙瓷贴面--陈娟
图片尺寸620x283
病例前牙烤瓷贴面修复一例
图片尺寸800x533
病例四:贴面修复畸形牙 - 好大夫在线
图片尺寸2352x1568
牙齿修复——瓷贴面治疗案例 - 好大夫在线
图片尺寸450x300
这个牙贴面近乎完美贴合我的牙齿!
图片尺寸418x495
恒正病例:前牙超薄贴面
图片尺寸1914x1078
仅需四步,逆袭成微笑少女!牙贴面流程全知道
图片尺寸3543x4724
写美篇瓷贴面具有广泛的适应症:前牙龋坏,缝隙,以及氟斑牙,畸形牙修复
图片尺寸1600x1198
被牙齿贴面"拯救"了一口丑牙!
图片尺寸791x1068
写美篇瓷贴面具有广泛的适应症:前牙龋坏,缝隙,以及氟斑牙,畸形牙修复
图片尺寸1600x1198