畸形 早期

这张照片的对象是一个患有头部畸形的婴儿,这是一种罕见的遗传疾病,每
图片尺寸1223x1280
糖尿病患者足部畸形要警惕糖尿病足
图片尺寸700x543
印度四手四脚畸形儿出世当地人错当神明令人哭笑不得
图片尺寸641x427
印度女人生下一个畸形孩子,因为一个特征,而被供为神灵!
图片尺寸462x282
中国每30秒诞生一个畸形宝宝多半和这5种食物有关孕妈要注意
图片尺寸660x679
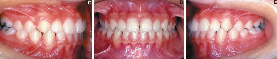
儿童错颌畸形早期矫治的那些事儿
图片尺寸884x520
双手双足先天畸形
图片尺寸4000x3000
儿童先天畸形系列多趾畸形的诊断和治疗
图片尺寸610x457
先天畸形?
图片尺寸1200x1600
先天性并指畸形女孩
图片尺寸960x1280
手足先天畸形的早期注意事项
图片尺寸960x1280
先天性并指畸形女孩
图片尺寸960x1280
流程!喙鼻畸形孩子图片"小家碧玉"-第1张图片-天福博客
图片尺寸704x400
畸形胎儿图片7
图片尺寸400x467
儿童错颌畸形应早期关注
图片尺寸1952x2592
学术分享12岁前儿童牙颌畸形的早期疗效观察
图片尺寸612x406
盘点亚洲十大最独特的畸形人
图片尺寸442x267
早期矫正_牙颌畸形 - 好大夫在线
图片尺寸800x534
宝宝并指畸形
图片尺寸450x267
正畸· 文献综述|安氏iii类错合畸形早期治疗:10年临床回访
图片尺寸1052x226