畸胎瘤彩超图片

卵巢畸胎瘤超声表现
图片尺寸766x574
典型畸胎瘤
图片尺寸768x576
典型的畸胎瘤!
图片尺寸640x480
典型畸胎瘤图像
图片尺寸501x322
卵巢内畸胎瘤
图片尺寸675x572
超声微课堂畸胎瘤
图片尺寸1280x960
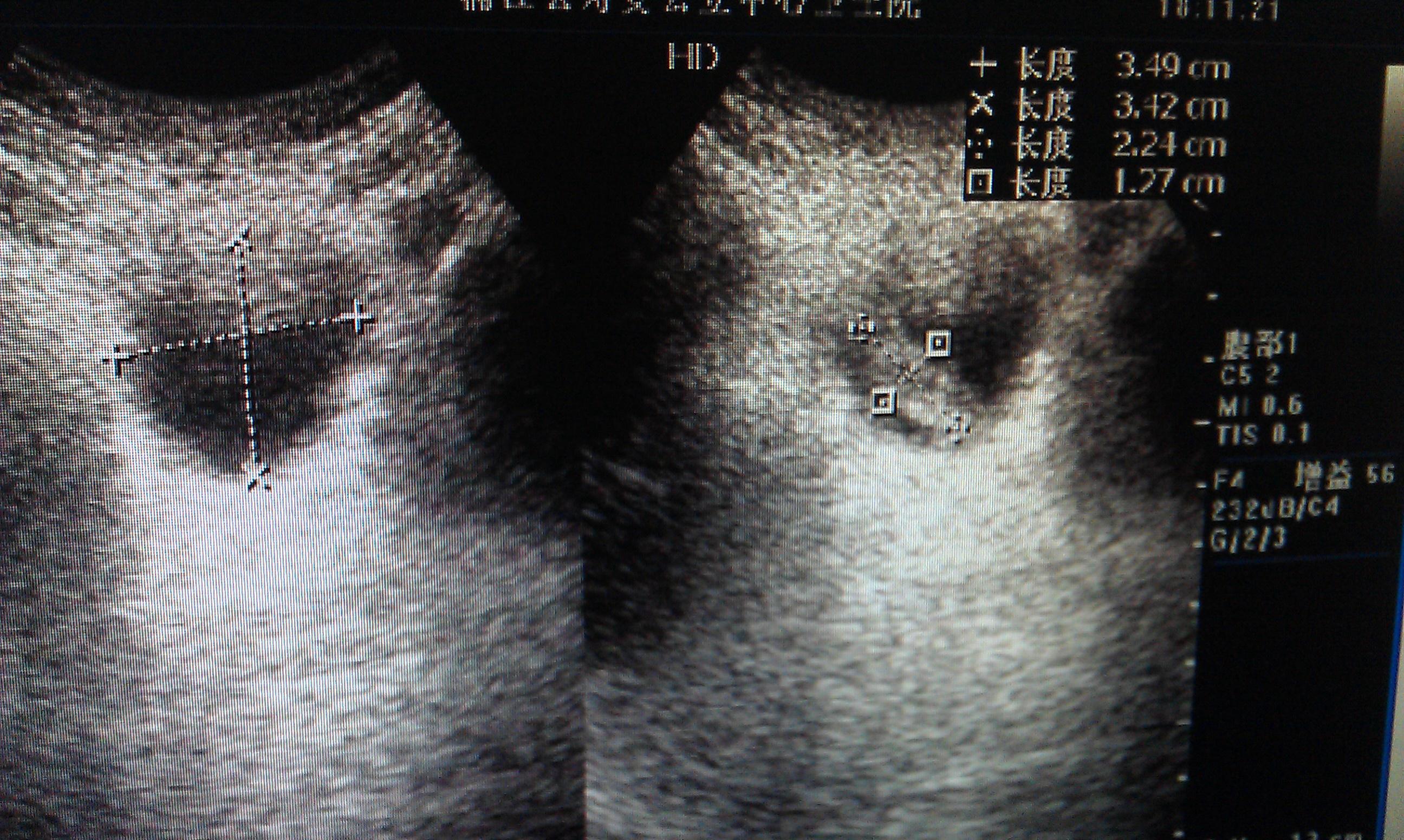
【读片】畸胎瘤腹腔镜治疗3月后,超声所见如下,该如何报
图片尺寸4128x2322
典型的畸胎瘤一例
图片尺寸720x480
盆腔占位畸胎瘤可能随访中
图片尺寸720x576
双侧畸胎瘤
图片尺寸768x576
典型的畸胎瘤一例
图片尺寸720x480
请各位老师看看这个是畸胎瘤吗
图片尺寸2592x1552
一例还算典型的畸胎瘤
图片尺寸720x576
卵巢囊性畸胎瘤
图片尺寸3165x2036
畸胎瘤一例
图片尺寸761x536
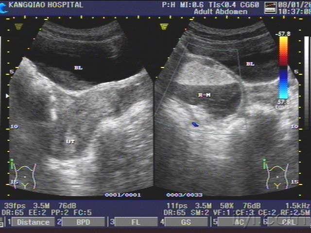
功能科病历分享:卵巢成熟畸胎瘤一例.
图片尺寸854x640
右卵巢畸胎瘤?
图片尺寸1024x1024
善良的畸胎瘤
图片尺寸2592x1936
请各位老师看看这个是畸胎瘤吗
图片尺寸2592x1552
胎儿骶尾部畸胎瘤
图片尺寸720x576