畸胎瘤怀孕

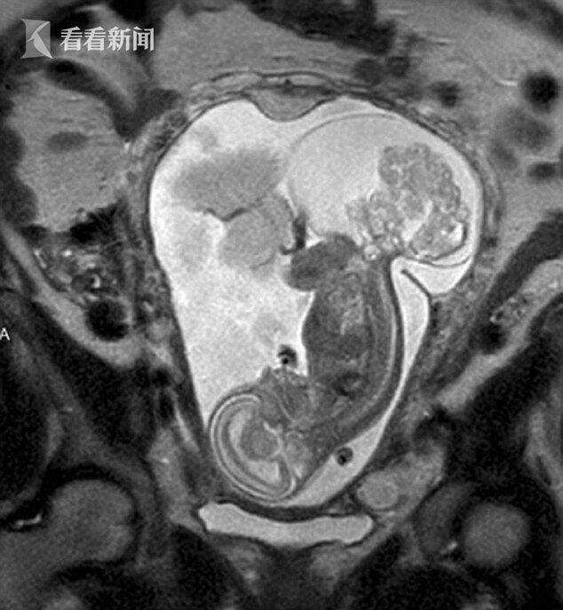
胎儿巨大骶尾部畸胎瘤一例
图片尺寸491x477
16.骶尾部畸胎瘤
图片尺寸900x1280![引产畸形2例 [病例帖]](https://i.ecywang.com/upload/1/img0.baidu.com/it/u=2836167805,921566759&fm=253&fmt=auto&app=138&f=JPEG?w=667&h=500)
引产畸形2例 [病例帖]
图片尺寸1280x960
骶尾部畸胎瘤复发高吗
图片尺寸416x345
临床工作中那些印象深刻的图片-学习的好资料
图片尺寸889x666
一怀孕就发现10公分的畸胎瘤(上)
图片尺寸1080x1014
畸胎瘤
图片尺寸500x375
卵巢畸胎瘤会引起腰疼吗
图片尺寸500x375
国内罕见,新生儿骶尾部1.2公斤的畸胎瘤.
图片尺寸900x500
周做常规产检时,被医生告知,未出生的婴儿患上了一种罕见骶尾部畸胎瘤
图片尺寸634x687
畸胎瘤后怀孕 孕检绿灯顺产
图片尺寸1080x1364
卵巢畸胎瘤
图片尺寸950x633
胎儿口腔上颚巨大未成熟畸胎瘤1例及文献复习
图片尺寸921x691
三查畸胎瘤每次大小不一样
图片尺寸1080x1439
畸胎瘤是什么
图片尺寸500x339
怀孕三个月查出有畸胎瘤与霉菌性阴道炎怎么办?宝宝能
图片尺寸273x300
卵巢畸胎瘤1例-医联
图片尺寸680x907
12岁少女大肚子检查发现巨型畸胎
图片尺寸550x413
剖腹产同时拿掉畸胎瘤 刨妇产取畸胎瘤危险嘛
图片尺寸672x504
一例成熟的畸胎瘤毛发和牙齿清晰可见
图片尺寸750x701