疥螨人体图片

人的疥螨是什么症状?_治疗_消毒_疥虫
图片尺寸478x336
人疥虫
图片尺寸2848x2136
疥疮的传染性极强, 疥螨是疥疮传染的元凶, 被世界卫生组织列入性传播
图片尺寸500x328
疥疮是一种较为常见的由于"疥螨"寄生于人体表皮内所导致的慢性传染性
图片尺寸852x1280
疥疮
图片尺寸820x600
人疥虫
图片尺寸2048x1536
疥螨_处理_传播
图片尺寸501x350
疥疮的症状图片
图片尺寸499x477
人疥虫
图片尺寸2048x1536
身上起包包很痒的图片
图片尺寸750x500
长阴虱怎么办
图片尺寸950x712
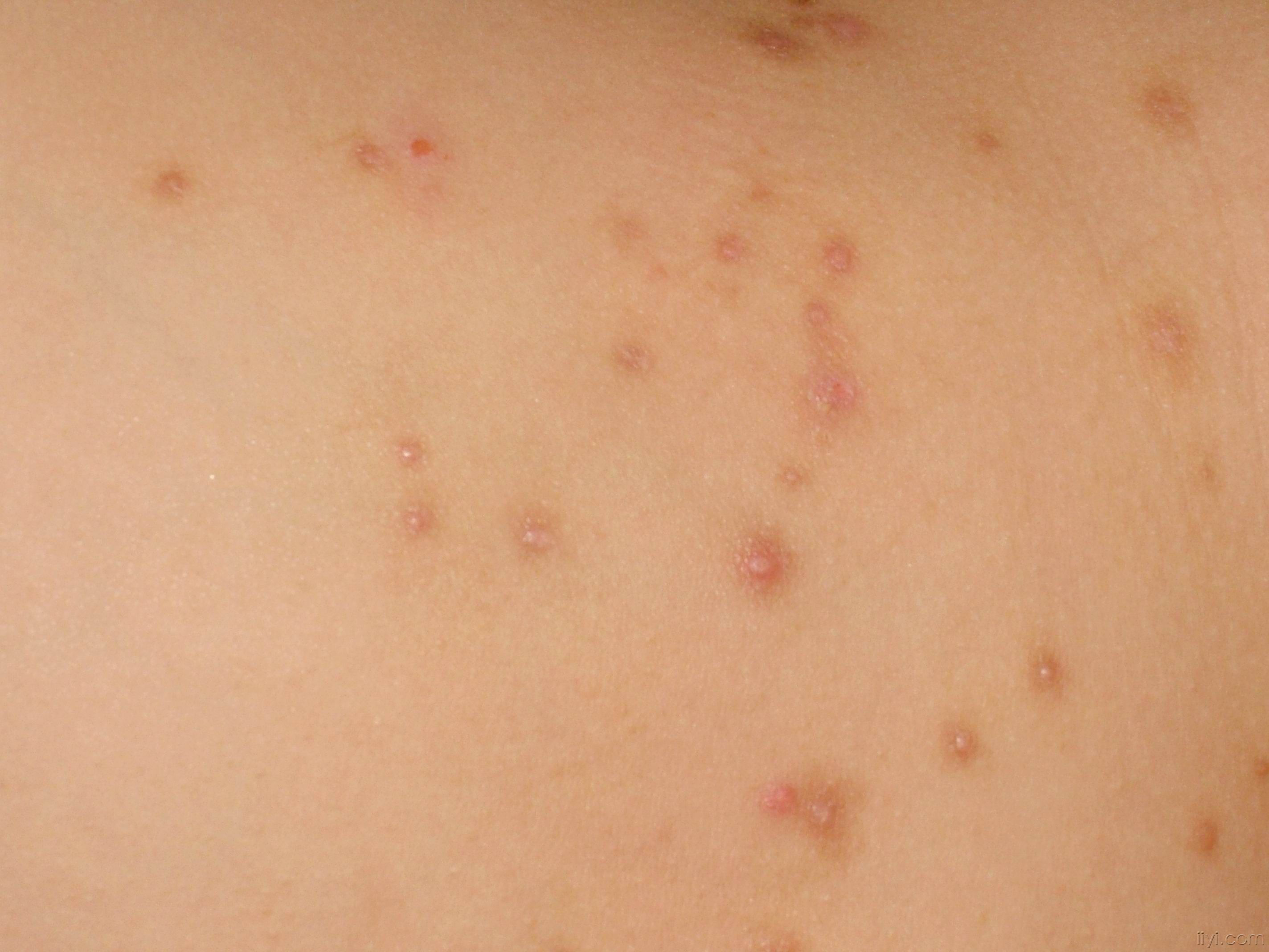
疥疮# #赣州皮肤科医院# 疥疮是由疥螨感染人体,所导致的一种寄生虫
图片尺寸1284x1280
皮肤与性传播疾病讨论版 -丁香园论坛
图片尺寸2240x3968
治疗_患者_疥螨
图片尺寸1280x720
床上"螨虫成堆"?教你个土招数:在屋里头放点它,螨虫全"跑光了"
图片尺寸640x960
结痂型疥疮图病因疥疮是由疥螨寄生于皮肤导致的传染性皮肤病,主要
图片尺寸2160x1440
喀什疥疮医院_喀什治疗疥疮哪家医院好_喀什治疗疥疮最
图片尺寸400x533
皮肤与性传播疾病讨论版 -丁香园论坛
图片尺寸2240x3968
疥疮被世界卫生组织列为传播疾病之一,它由于人体感染了疥虫(人疥螨)
图片尺寸720x405
疥螨的疥虫传播
图片尺寸371x325