痛风石x线

如何确定是痛风石?这五招鉴定法痛风专家周桂兰告诉你!
图片尺寸645x423
老人76岁,他手指#痛风石 并不是很大,但片子显示手指上痛 - 抖音
图片尺寸3472x4624
从而降低血尿酸水平,痛风石痛风手ct图片血尿酸痛风x线片图片大全
图片尺寸1948x2476
段如仁的x光片显示,其左脚大拇指处痛风石较为严重
图片尺寸407x273
痛风石"挤"出来?千万别这么做!否则后悔都来不及
图片尺寸3426x2601![【读片】临床诊断为痛风石,x线片表现,请大神帮分析下 [病例帖]](https://i.ecywang.com/upload/1/img2.baidu.com/it/u=2620582941,2019589755&fm=253&fmt=auto&app=138&f=JPEG?w=500&h=527)
【读片】临床诊断为痛风石,x线片表现,请大神帮分析下 [病例帖]
图片尺寸1456x1534
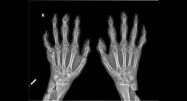
看了这双长满痛风石的手,你还不在乎尿酸高吗?
图片尺寸808x551
痛风石比较多,膝盖的骨缝里也有,绿色的都是痛风石.
图片尺寸1536x2048
痛风石五大症状盘点,早发现早治疗!痛风专家周桂兰解析!
图片尺寸984x445
28岁小伙痛风13年关节里竟已长出石头
图片尺寸640x347
12张图,看清楚痛风的真实面目,最后1张图谨慎观看
图片尺寸790x1108
四肢关节长满痛风石的他一年后来医院,手术无法取石只能截肢
图片尺寸640x460
世界痛风日专家提醒尿酸不高也可能出现痛风
图片尺寸559x543
双源ct让痛风石无处隐藏
图片尺寸3456x4608
痛风x线表现
图片尺寸500x375
检查显示,刘明身上多关节有痛风石,几处骨关节已被破坏;不仅如此,他的
图片尺寸640x378
痛风石:痛风病情严重的标志
图片尺寸640x480
痛风影像表现
图片尺寸467x778
痛风石初期是什么样怎么快速消除痛风专家周桂兰告诉你
图片尺寸1080x720
痛风有哪些影像表现
图片尺寸660x403