痰液抗酸染色绘图

痰抗酸杆菌染色阳性肺结核
图片尺寸1280x960
痰涂片弱抗酸染色找到抗酸阳性的菌体(图2b).
图片尺寸874x424
挑取单个菌落涂片行革兰染色和改良抗酸染色,革兰染色镜下见革兰阳性
图片尺寸533x533
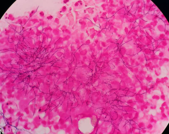
痰涂片革兰染色:革兰阳性,丝状及杆状,可见90度分枝.
图片尺寸2137x1200
取少量菌涂片进行弱抗酸染色,发现部分呈阴性,部分呈阳性,见图3,高度
图片尺寸418x379
痰涂片 未分化癌?
图片尺寸965x896
我们实验室自己拍的一个痰标本抗酸涂片的镜下结果,除了惊悚菌量之大
图片尺寸1920x960
痰液抗酸染色 粉红色 是结核杆菌吗?急求答案?
图片尺寸666x505
菌体为丝状,菌体丝有分枝,见图5;患者痰涂片弱抗酸染色:可见大量红色
图片尺寸554x439
一文整理抗酸菌那些事儿
图片尺寸660x557
患者痰培养标本(弱抗酸染色 ×1 000) a.
图片尺寸2756x974
按照惯例,又对菌落进行一个革兰染色涂片:菌落特写:菌落呈粗糙颗粒状
图片尺寸355x223
抗酸染色涂片镜检阳性4
图片尺寸750x1000
一文整理抗酸菌那些事儿
图片尺寸578x915
痰涂片tb菌.jpg
图片尺寸448x302
梁立全-广西贺州市人民医院来源:痰液-改良抗酸染色27耶氏肺孢子菌供
图片尺寸660x371
痰培养检出诺卡菌,质谱结果为新诺卡菌.
图片尺寸1440x1920
肺结核病人痰液中的结核分枝杆菌抗酸染色结果,做得不好发图自勉t^t
图片尺寸500x667
6.结核杆菌抗酸染色6.
图片尺寸2048x1536
成簇的抗酸菌
图片尺寸1080x810