瘢痕性幽门梗阻

瘢痕性幽门梗阻ppt
图片尺寸1080x810
胃十二指肠溃疡瘢痕性幽门梗阻
图片尺寸290x191
幽门阻塞
图片尺寸920x852
盐水洗胃瘢痕性幽门梗阻→胃大部切除术禁用m-r阻断药胃溃疡癌变 1%
图片尺寸1066x812
同样,这次的孙大伯再次胃镜检查发现胃和残余食管食物潴留,进幽门(胃
图片尺寸742x471
瘢痕性幽门梗阻的临床表现是什么最突出的特征是
图片尺寸552x240
胃十二指肠溃疡瘢痕性幽门梗阻
图片尺寸400x300
严重甚至会要命,一定要注意!
图片尺寸1080x551
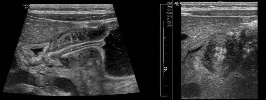
典型婴儿幽门梗阻
图片尺寸640x478
先天性肥厚型幽门狭窄 - 好大夫在线
图片尺寸1080x1672
胃十二指肠溃疡瘢痕性幽门梗阻
图片尺寸400x232
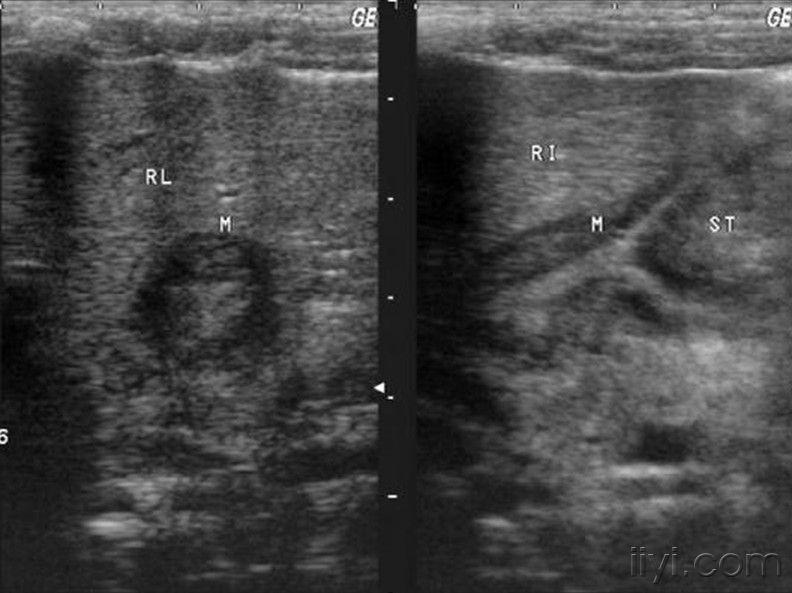
典型病例--幽门肥厚梗阻!
图片尺寸792x593
先天性幽门梗阻的腹腔镜手术重疾险投保影响
图片尺寸1080x1439
求消化科医生赐教胃病的治疗,大谢(附胃镜图).
图片尺寸784x710
先天性肥厚性幽门狭窄--图片
图片尺寸801x561![【共享】先天性幽门肥厚的上消化道造影表现小结 [病例帖]](https://i.ecywang.com/upload/1/img2.baidu.com/it/u=835988170,3580433256&fm=253&fmt=auto&app=138&f=JPEG?w=250&h=500)
【共享】先天性幽门肥厚的上消化道造影表现小结 [病例帖]
图片尺寸2060x4116
超过上述正常值的情况就可以诊断为肥厚性幽门梗阻.
图片尺寸881x332
幽门梗阻_胃十二指肠溃疡瘢痕性幽门梗阻_胃十二指肠溃疡瘢痕性幽门
图片尺寸810x1080
内科护考总结考点
图片尺寸1080x1439
瘢痕性幽门梗阻课件.ppt
图片尺寸1152x864