白垩色是什么颜色

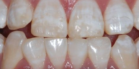
有一些接受正畸固定矫治的患者其牙面上会呈现白垩色的点或斑块,临床
图片尺寸640x339
包邮白垩土原石浅黄米白色打底色 碳酸钙 制作矿物国画颜料原材料
图片尺寸300x300
釉质脱矿逐渐停止,此时釉质表面为白垩色的粗糙状,称为活动性白斑
图片尺寸695x374
本来是想刷杏子色的,但是在看到色卡白垩土色时候突然觉得这个颜色比
图片尺寸1080x1439
真正的天然琥珀在365nm的紫外光下会有蓝白垩色的荧光反应,这是琥珀
图片尺寸640x427
靠近牙颈部呈现不同程度的白垩色改变,比牙齿颜色更白,表面光泽度丧失
图片尺寸544x265
技师把白垩色加在釉质上,感觉太多了太假了,而且患者希望牙色能正常
图片尺寸500x298
(小朋友学习刷牙先用清水呦) 表现 (1)白垩色(轻度) 牙面失去正常光泽
图片尺寸428x220
coach 蔻驰 奢侈品 女士白垩色印花图案皮质手提单肩斜挎包 29098 bpc
图片尺寸800x800
氟斑牙根据严重程度主要分为三种类型: 轻度氟斑牙:白垩色不透明色斑
图片尺寸465x231
98图1:触感中性色设计空间大面积的白垩色,作为整个设计的底色.
图片尺寸996x756
有烧低铁蓝宝石,整体白垩色荧光明显
图片尺寸1280x853
初期平滑面表现为白垩色斑块,后期因着色呈黄褐色,窝沟处则呈浸墨状
图片尺寸625x417
皓雅口腔今日份爱牙科普.#口腔科普 - 抖音
图片尺寸979x1196
正常的乳牙(如图):呈带有光泽的乳白色,颜色均匀;其实,他上门牙萌出的
图片尺寸954x1000
有些人的牙齿表面会有一些白垩色或者黄褐色的斑块,其实这是一种牙
图片尺寸764x1017
牙齿表面有黑褐色,失去光泽的白垩色斑点,或两牙相邻处有变暗的黑晕
图片尺寸527x370
但在矫治过程中,患者牙面常可见形态不规则的白垩色病损,即牙面脱矿
图片尺寸1022x681
烤瓷牙做成这样,你有必要考虑换个医生了
图片尺寸400x243
一般情况下,龋齿最先是呈现白垩色,小面积的白垩色不明显,但是在龋齿
图片尺寸1000x660