白垩色牙齿

轻度氟斑牙:白垩色不透明区超过患牙牙面的1/4,甚至累及整个牙面,牙无
图片尺寸640x418
为什么牙齿会烂 为什么牙齿会烂神经
图片尺寸1429x710
有一些接受正畸固定矫治的患者其牙面上会呈现白垩色的点或斑块,临床
图片尺寸640x339
8天后完成如下图 感觉与周围牙齿颜色差距太大返厂加白垩后如下图
图片尺寸500x298
牙齿光滑面白垩斑样病损的树脂渗透治疗一
图片尺寸720x400
靠近牙颈部呈现不同程度的白垩色改变,比牙齿颜色更白,表面光泽度丧失
图片尺寸544x265
有意思的是如果氟斑的白垩色斑块很均匀的话,牙齿甚至会比正常更白
图片尺寸738x438
白垩色氟斑牙
图片尺寸400x300
震惊牙齿居然就是这样变色的
图片尺寸291x175
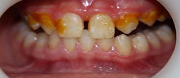
初期平滑面表现为脱矿所致的白垩色斑块,以后因着色而呈黄褐色,窝沟处
图片尺寸750x500
轻度氟斑牙微创修复两例_白垩色
图片尺寸1024x739
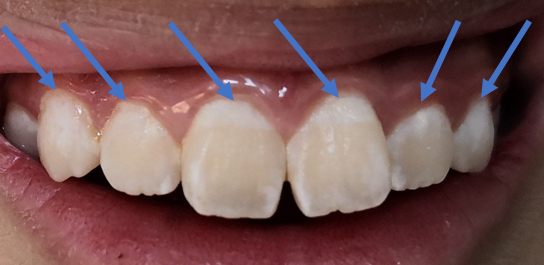
轻度氟斑牙:一般症状表现为牙齿表面有白垩色条纹或不规则散布的小
图片尺寸640x354
导致萌出的牙齿有氟斑牙的症状,若是症状较轻,会表现为牙齿上有白垩
图片尺寸640x334
相当不均匀,于是就形成了氟斑牙这种牙色不均匀的外形氟斑牙的牙齿
图片尺寸597x330
href="#" data-lemmaid="1099155">白垩色 /a>的点或 a href="#" data
图片尺寸357x155
缺点:多少也需要把白垩色的部分磨一点,对医生的操作和材料要求较高.
图片尺寸1024x631
牙齿光滑面白垩斑样病损的树脂渗透治疗
图片尺寸695x374
釉质表面发生白垩色改变,部分釉质缺损 b.釉质有缺损,其.
图片尺寸640x239
例如:平滑面龋其实这个白化现象大家都很了解,它就是牙齿表面的白垩色
图片尺寸640x359
白垩型:牙齿表面有白垩色条纹或不规则散布的小面积不透明区着色,但
图片尺寸722x722