白细胞结构

教材疑点通你不知道的白细胞
图片尺寸1080x1022
各种白细胞的形态
图片尺寸1179x1130
白细胞正常是多少
图片尺寸500x375
图乙为人体细胞结构示意图.
图片尺寸257x380
血细胞(45%) 红细胞 白细胞 血小板 思考: 1,哪种血细胞数量最多?
图片尺寸1080x810
细胞内部结构
图片尺寸422x365
二,各类白细胞的光电镜结构和主要功能血清:当血液流出血管后,血浆中
图片尺寸413x183
免疫反应中白细胞释放组胺
图片尺寸436x345
人体的卫士白细胞
图片尺寸600x400
可以分化成很多不同功能的细胞,比如干细胞可以分化成白细胞,脂肪细胞
图片尺寸909x611
结构模式图图5-5 人三种粒电镜像 ×17800左图:中性粒细胞(白求恩医科
图片尺寸601x247
白细胞高就是细菌感染吗?
图片尺寸1128x694
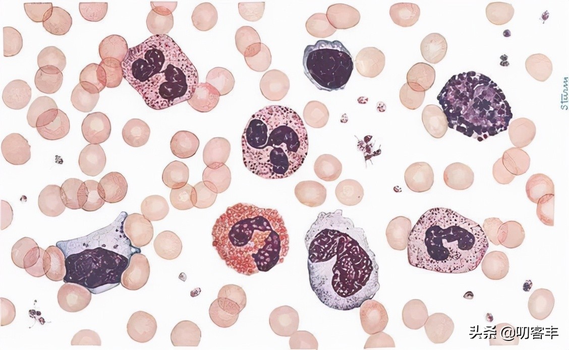
你知道白细胞都包括哪些细胞吗?
图片尺寸640x495
三大常规化验到底查的是啥认识血常规解读白细胞的秘密
图片尺寸551x580
发布于2016-02-17 11:40 最佳答案 淋巴细胞是白细胞的一种,属于
图片尺寸640x514
白细胞嗜酸性细胞的3d图
图片尺寸1200x675
血液中的白细胞有的只能活几小时.
图片尺寸500x360
人体白细胞
图片尺寸500x400
白细胞低的原因是什么造成
图片尺寸480x360
笔记1|白细胞 - 知乎
图片尺寸720x718