白细胞英文

p>白细胞(英文名:leukocyte,white blood cell,简称:wbc)是无色,球形
图片尺寸600x400
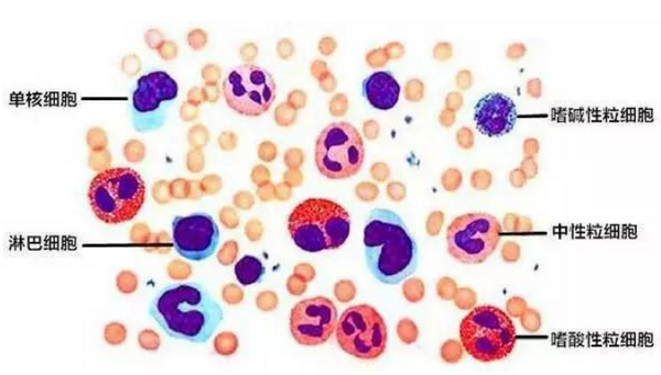
白细胞5分类英文简写是什么?
图片尺寸600x341
p>白细胞(英文名:leukocyte,white blood cell,简称:wbc)是无色,球形
图片尺寸1200x900
白细胞血沉护讲ppt
图片尺寸1080x810
人类白细胞抗原(hla)系统.ppt
图片尺寸1152x864
p>白细胞(英文名:leukocyte,white blood cell,简称:wbc)是无色,球形
图片尺寸500x417
重组蛋白:cd 抗原cd antigens_研究_白细胞_技术
图片尺寸572x442
商业照片显示白细胞负责保护身体不受感染瓶包装盖纸箱容器容易打开盖
图片尺寸300x300
白细胞 中性粒细胞 淋巴细胞 血小板 血红蛋白 尿素氮 肌酐 英文全称
图片尺寸1080x810
中医养生 中医常识 正文 白细胞(英文名:leukocyte,whitebloodcell
图片尺寸390x249
血小板英文缩写(红细胞白细胞血小板英文缩写)
图片尺寸800x1132
如何识别白细胞病理形态异常_中性_血细胞_颗粒
图片尺寸1080x859
白细胞_卡通_高兴_高清图片_全景视觉
图片尺寸670x670
血白细胞高的原因
图片尺寸450x358
人教版精通版四年级英语上册 unit 3 its a pine
图片尺寸1080x810
白细胞突然增多是发炎了还是白血病
图片尺寸575x387
imeta | 西北农林曹阳春组综述艰难梭菌感染中的宿主
图片尺寸1080x730
红细胞|血细胞|血小板|白细胞|祖细胞_网易订阅
图片尺寸436x573
它们产生各种细胞因子,包括干扰素(ifns),肿瘤坏死因子(tnf)和白细胞
图片尺寸1080x1059
白细胞计数和白细胞分类计数ppt
图片尺寸1080x810