白肺

新冠患者出现"白肺"?白肺究竟是咋回事?一文讲明白-万州手机台
图片尺寸450x260
警惕老人白肺重症!这三大措施教你提前预警,抢占生命线!
图片尺寸640x671
ct影像出现"白色"就是"白肺"?重型肺炎预警信号有哪些?_上观新闻
图片尺寸1080x812
医生:不断咳嗽,先别乱吃药!结合这些症状,可能是"白肺"!
图片尺寸365x399
进击的白肺----对一例快速进展的白肺的人生思索 - 呼吸与胸部疾病讨
图片尺寸2726x3266
七旬老奶奶"白肺",救治25天创奇迹|插管|治疗|呼吸机|国际罕见病日_网
图片尺寸660x660
如何预防白肺,究竟是怎么一回事?-睿尔网
图片尺寸1000x821
了解新冠感染后的白肺
图片尺寸640x480
癌症患者怎样安全度过疫情,警惕出现"白肺"现象 - 知乎
图片尺寸830x530
七旬老奶奶"白肺",救治25天创奇迹|插管|治疗|呼吸机|国际罕见病日_网
图片尺寸660x660
【福州6岁女童反复发烧,左肺接近白肺!这种疾病目前处于发病小高峰!】
图片尺寸1857x1280
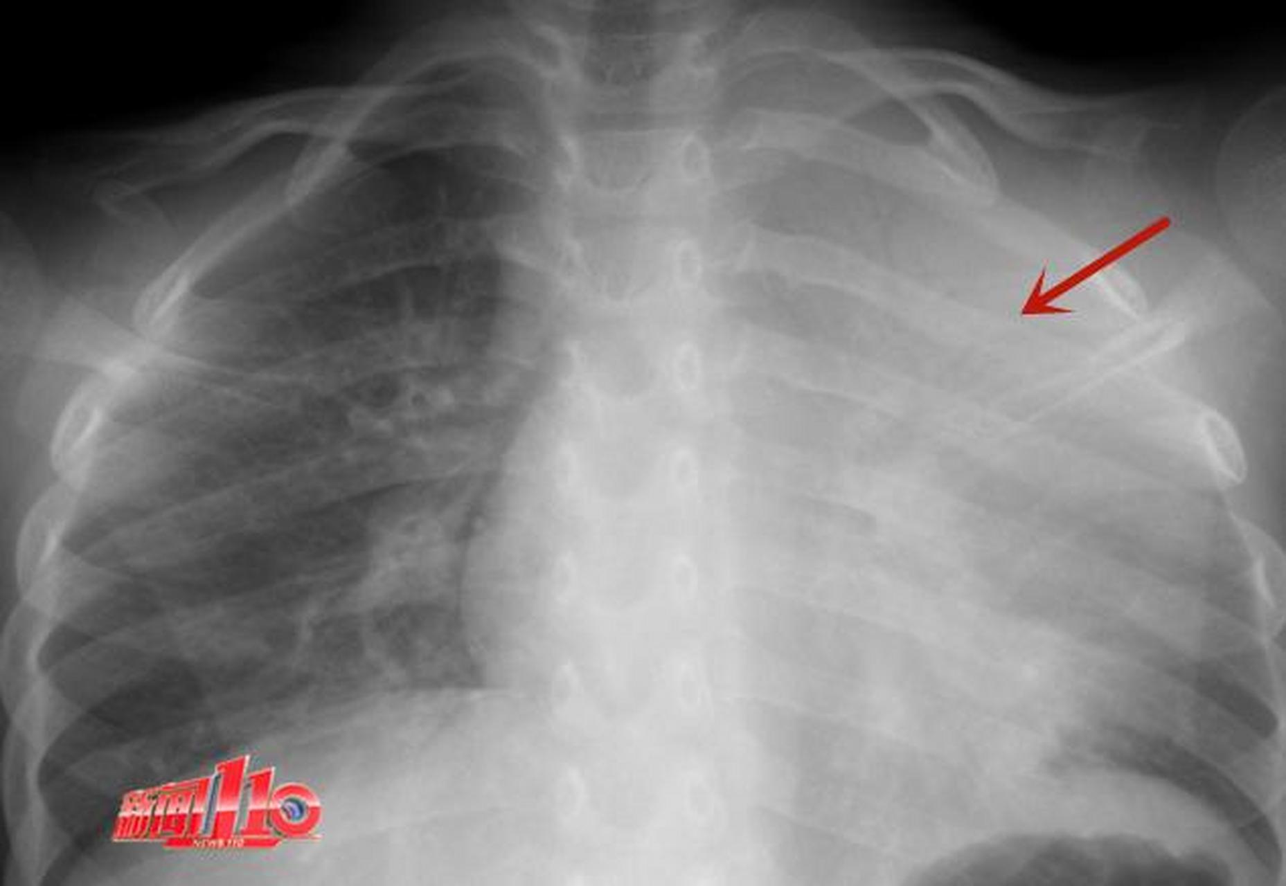
又见白肺,一文教你如何跟患者讲解平片,收藏!!!_积液
图片尺寸640x680
什么是白肺?发生白肺会有什么感觉和表现?如何早发现?一文说清
图片尺寸640x512
都在说"白肺"(带您看看白肺到底什么样?) - 浦东人才网
图片尺寸705x707
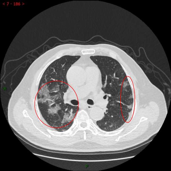
胸部ct白肺?? - 急救与危重病讨论版 -丁香园论坛
图片尺寸2976x3968
千万别乱对脸!有人已查出"白肺",很多明星用过
图片尺寸952x579
胸部ct白肺?? - 急救与危重病讨论版 -丁香园论坛
图片尺寸2976x3968
孩子高烧咳嗽竟成"白肺"!快了解支原体肺炎,家中有娃必防|症状|上呼吸
图片尺寸660x496
胸部ct白肺?? - 急救与危重病讨论版 -丁香园论坛
图片尺寸2976x3968
使用防晒喷雾不当,20岁小伙检查出"白肺"
图片尺寸640x360