白血病牙龈肿胀图片

急性单核细胞白血病的牙龈浸润|核细胞白血病|cd117|过氧化物|羟基脲
图片尺寸1080x996
已经都肿了连着脖子,整个右边下牙全肿了,舌头底下也肿,本人有白血病
图片尺寸770x1024
白血病引起的牙龈增生出血
图片尺寸2560x1464
深圳女生刷牙见血,以为上火,一查竟是白血病!牙龈出血的人小心了
图片尺寸800x533
牙龈红肿出血是什么原因
图片尺寸800x600
维甲酸evi1阳性急性髓系白血病患者的福音
图片尺寸534x388
(4)血友病可发生牙龈自发性出血等.
图片尺寸716x448
白血病是"等"出来的吗?
图片尺寸660x420
爱心接力,救助7岁白血病小女孩张欣瑶 | 青县盘古镇孙楼村人.
图片尺寸1080x1440
如:血小板减少症,再生障碍性贫血,白血病,血友病等等.
图片尺寸888x556
牙龈出血是什么原因,会不会是白血病?
图片尺寸293x227
必须要引起警惕,一定要进行全身检查,排除白血病等其他系统性疾病的
图片尺寸500x872
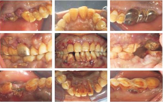
病例分享牙周科门诊发现急性白血病2例
图片尺寸549x328
【病例分享】牙周科门诊发现急性白血病2例_医学界-助力医生临床决策
图片尺寸548x342
牙龈出现肿胀浸润,有可能是白血病在"捣鬼"
图片尺寸728x408
淋巴结肿大白血病患者可能会出现牙龈出血,鼻出血等异常出血现象.
图片尺寸640x567
牙龈出血的原因及治疗方法
图片尺寸392x222
牙龈增生
图片尺寸601x400
第一种像血小板减少性紫癜,白血病,再生障碍性贫血,血小板无力症 都会
图片尺寸640x425
牙龈出血?别急,看这里!
图片尺寸1080x727