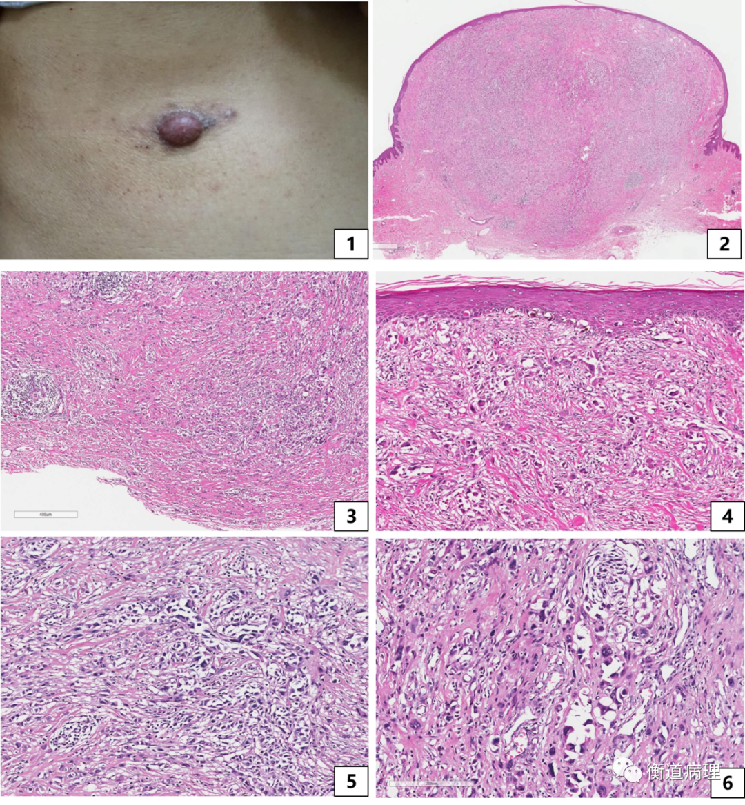
皮肤梭形细胞肿瘤

这个角化棘皮瘤直接梭形切开缝合?
图片尺寸3072x4096
诊断,处理?
图片尺寸3000x4000
专题学习-头颈部皮肤多形性梭形细胞肿瘤
图片尺寸880x1344
手掌梭形细胞间叶源性肿瘤
图片尺寸1367x975
img
图片尺寸4160x3120
肿瘤细胞排列呈巢状,伴炎症细胞浸润,皮肤基底层有肿瘤细胞佩吉特样
图片尺寸1080x1167
不知名的皮肤肿瘤
图片尺寸3024x4032
"鳞"危不惧!闽东医院多学科诊疗mdt模式 精准治疗皮肤恶性肿瘤
图片尺寸2736x1711
容易被忽视的皮肤恶性肿瘤有哪些?
图片尺寸872x1440
不知名的皮肤肿瘤
图片尺寸3024x4032
小腿梭形细胞恶性肿瘤,恶臭无比.整形外科扩大切除肿瘤,皮瓣移植修复
图片尺寸540x960
不知名的皮肤肿瘤
图片尺寸4032x3024
这位患友,皮肤上长了个外观似"桃心"的黑色赘生物,凸起于皮肤之上
图片尺寸1710x1280
皮肤组织病理学:皮肤肿瘤
图片尺寸701x524
隆突性皮肤纤维肉瘤:一种罕见皮肤纤维组织细胞肿瘤!
图片尺寸856x861
皮肤鳞癌一个特殊情况
图片尺寸2736x3648
2cm大一块,皮肤表面灰褐,切开全取; 病理诊断:
图片尺寸888x666
皮肤癌
图片尺寸1280x1370
图片尺寸690x863
梭形细胞瘤
图片尺寸1080x810