皮肤组织切片

皮肤切片(图片来自网络)
图片尺寸720x478
【求助】求教,如何识别皮肤的he染色切片!
图片尺寸3264x1972
下,显示了从一只感染了猴痘病毒的猴子皮肤病变处获取的皮肤组织切片
图片尺寸800x527
复层扁平上皮组织显微镜配件产品染色均匀清晰组织类生物标本切片
图片尺寸300x300
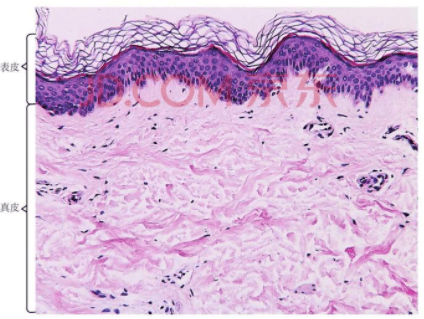
我们先来看个正常人的皮肤组织切片:皮下组织层我们就不必多说了,基本
图片尺寸600x460
病理正常皮肤组织病理3
图片尺寸640x476
教育组织学显微镜下人体皮肤头部横切面.人类生理学的组织学.
图片尺寸1200x800
显微镜下人体皮肤组织横切面
图片尺寸1200x900
皮肤病理课背部网状色素沉着
图片尺寸640x705
实验二:结缔组织 皮肤_第5页
图片尺寸920x690
求助皮肤病理切片诊断及描述
图片尺寸389x384
临床案例群体饲养的母猪小母猪的多形性红斑和呼吸系统疾病
图片尺寸610x458
真皮层(英语:dermis)是位于表皮与皮下组织之间的一层皮肤,其由两层
图片尺寸250x188
皮肤病理切片图刀切法模式图环钻法模式图专家介绍刘欣欣主治医师
图片尺寸424x319
家兔皮肤石蜡切片中遇到的问题求大神
图片尺寸800x602
光学显微镜下观察的皮肤切片图.
图片尺寸500x300
真实的皮肤病理切片
图片尺寸1080x692
四川大学组胚课件 11.皮肤ppt
图片尺寸1080x810
2年前家长诉日晒后皮肤出现褐色斑片,逐渐增多,面积增大,皮疹表面有
图片尺寸640x480
瘢痕的组织形态_皮肤_疙瘩_血管
图片尺寸1038x376