皮肤he染色

【求助】求教,如何识别皮肤的he染色切片!
图片尺寸3264x1972
求大神帮忙看下大鼠皮肤he染色片子
图片尺寸1280x960
求大神帮忙指导------大鼠皮肤he染色图
图片尺寸1378x1038
求大神帮忙指导------大鼠皮肤he染色图
图片尺寸828x566
【求助】大鼠皮肤he染色
图片尺寸640x480
求大神帮忙指导------大鼠皮肤he染色图
图片尺寸1502x1127
并利用组织切片he染色检测皮肤角质层微观结构变化
图片尺寸359x276
请问有谁做过表皮的he染色?
图片尺寸2592x1944
求大神帮忙指导------大鼠皮肤he染色图
图片尺寸1509x1131
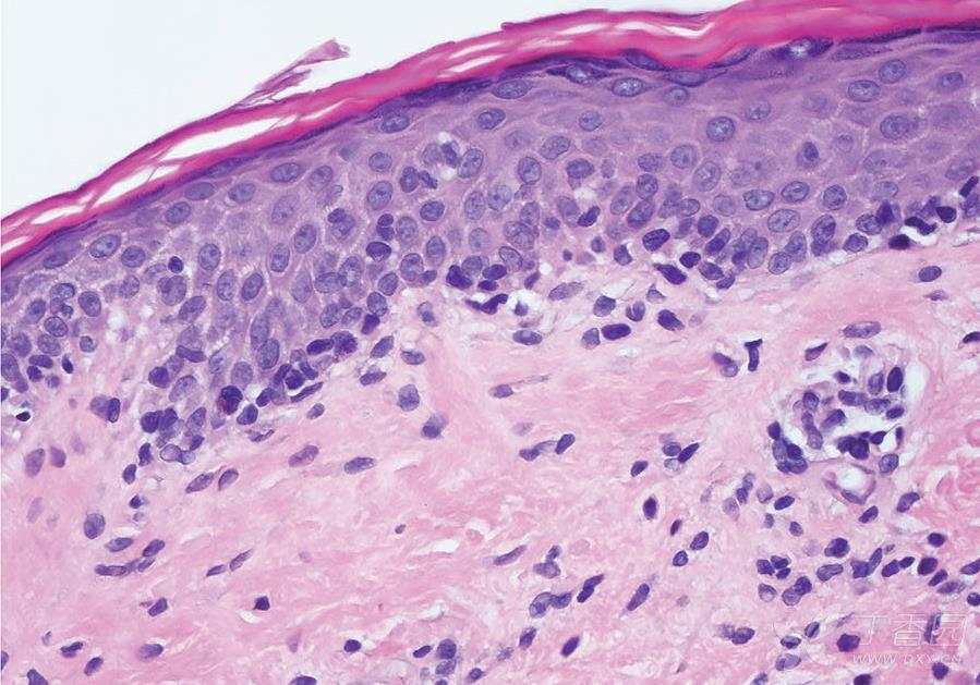
真皮浅,深层和附属器周围有中等量淋巴细胞,组织细胞浸润(he染色×40)
图片尺寸1000x667
请教皮肤切片he染色附属器辨认,谢谢
图片尺寸1109x738
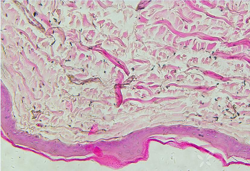
真皮上部高度水肿,胶原纤维分离.(he染色×100)
图片尺寸469x314
小鼠皮肤he染色结构辨认
图片尺寸1698x1598
求大神帮忙看下大鼠皮肤he染色片子
图片尺寸1280x960
除角化过度,棘层肥厚外,棘层上部,颗粒层内见空泡化细胞(he染色×100)
图片尺寸1000x714
皮肤表皮的变化
图片尺寸493x402
组织病理:血管周围炎性浸润(he 染色)
图片尺寸640x496
图3-10-46 真皮上部高度水肿,胶原纤维分离(he染色×100)诊断本病诊断
图片尺寸1000x667
he染色:皮肤组织无炎症或坏死fontana-masson染色:区域3,4黑色素沉积
图片尺寸1179x536
5年轻度瘙痒皮肤异色斑片和稀薄斑块,请你来分析
图片尺寸899x629