皮脂螨虫

所见最严重的面部蠕型螨皮炎1例
图片尺寸1024x768
头皮油能抠下灰泥说明几万螨虫扎根毛孔再不除螨会越扎越深
图片尺寸640x561
德国变态发明,30秒吸出陈年螨虫,这tm才叫洗干净了!
图片尺寸1080x808
后背抠下脂肪粒,暗示百万螨虫在后背"为非作歹",记住3招灭螨
图片尺寸640x435
我们平时皮肤干痒,疼痛都是螨虫在撕咬,破坏人体的皮脂腺和毛囊,它们
图片尺寸660x494
因为长痘说白了就是皮肤炎症爆发,皮肤变差,螨虫生存环境变恶劣,只能
图片尺寸1080x387
脸上的螨虫是蠕形螨,而蠕形螨是寄生在毛囊和皮脂腺当中的,是我们皮肤
图片尺寸750x484
如何除螨虫这5种除螨方法
图片尺寸640x425
粉刺螨虫的快速去除方法,五大有效妙招
图片尺寸640x640
其实总结一下,怎么样杜绝螨虫,第一步是要预防!
图片尺寸640x436
螨虫过敏怎么有效除螨除螨仪有没有必要
图片尺寸1920x1440
导致脸上坑坑洼洼非常难看;而且螨虫还会寄生在毛囊和皮脂腺上,引发
图片尺寸750x403
有螨虫的皮肤怎样子图片教大家对应除螨方法
图片尺寸500x393
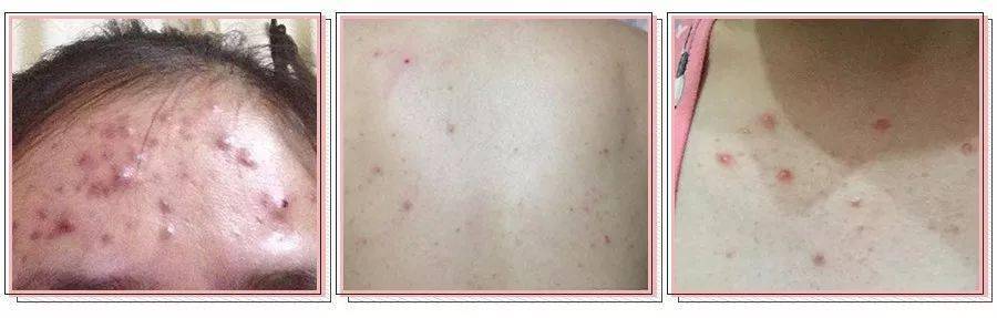
皮肤科的医生告诉我们 这一切的罪魁祸首是: 螨虫 以下是皮肤上螨虫的
图片尺寸900x287
螨虫到底有多可怕?不定期除螨的人如今怎么样,皮肤专家说出实情
图片尺寸640x640
教你一招快速除螨让你的家干净再干净
图片尺寸1080x720
有螨虫的人要注意了头上有这几个症状表明头皮已是螨虫的地盘
图片尺寸650x505
小孩身上若出现"这3个迹象",或说明床上螨虫"成窝",别忽略
图片尺寸1000x738
论床的重要性人生有一半时间在床上度过螨虫知多少
图片尺寸890x478
怎么治螨虫
图片尺寸972x1296